NG相信品牌的力量官网

English NG相信品牌的力量官网集团企业邮箱

第二节 烧伤湿性医疗手艺深Ⅱ度烧伤皮肤 再生修复历程及组织学体现

作者:中国中西医团结学会烧伤专业委员会 出书社:中国医药科技出书社 刊行日期:2000年6月

         

5-2-1 伤后第1天,,,,,,,表皮凝固性坏死,,,,,,,真皮浅层胶原纤维变性  HE×100 
         

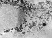
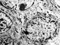
5-2-2 伤后第1天,,,,,,,毛细血管内皮细胞核固缩,,,,,,,管腔内血液凝集和瘀滞  TEM×6000

         

5-2-3 伤后第3天,,,,,,,表皮细胞空泡化,,,,,,,真皮浅层胶原纤维玻璃样变,,,,,,,真皮内散在炎细胞浸润  HE×100

         

5-2-4 伤后第5天,,,,,,,真皮浅层组织液化性坏死、剥落  HE×100

         

5-2-5 伤后第5天,,,,,,,胶原纤维相互融合,,,,,,,其间的细胞已崩解  TEM×6000

         

5-2-6 伤后第10天,,,,,,,剩余真皮组织再生  HE×100

         

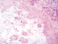
5-2-7 伤后第10天,,,,,,,创面真皮层汗腺增生,,,,,,,泛起大宗的上皮干细胞和炎性细胞  HE×1000

         

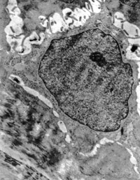
5-2-8 伤后第10天,,,,,,,皮肤附件上皮细胞成簇漫衍,,,,,,,核仁边集,,,,,,,内质网扩张,,,,,,,胞质内含较多张力原纤维  TEM×6000

         

5-2-9 伤后第15天,,,,,,,创面真皮深层的附件上皮自深处向外貌笔直生长,,,,,,,平皮后呈舌状向创面爬行、笼罩  HE×100

         

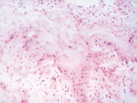
5-2-10 伤后第15天,,,,,,,成纤维细胞合成代谢活跃  HE×100

         

5-2-11 伤后第20天,,,,,,,大部分创面已由复层鳞状上皮笼罩,,,,,,,创面真皮层内可见增生涯跃的成纤维细胞和新生毛细血管  HE×100

         

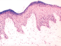
5-2-12 伤后第22天愈合,,,,,,,新生皮肤的结构同正常皮肤  HE×100

         

5-2-13 愈后:表皮与真皮之间完整的真皮-表皮毗连  TEM X 8000

         

5-2-14 愈后新生皮肤真皮内纤维细胞呈常态,,,,,,,胶原纤维粗细匀称,,,,,,,排列有序,,,,,,,达心理性愈合  TEM×10000

         

5-2-15 深Ⅱ度创面修复愈合后的皮肤概略形态,,,,,,,其体现与未损伤皮肤一致

(徐荣祥、王成传、萧摩、谢尔凡)
网站地图