NGÏàÐÅÆ·ÅƵÄÁ¦Á¿¹ÙÍø

English NGÏàÐÅÆ·ÅƵÄÁ¦Á¿¹ÙÍø¼¯ÍÅÆóÒµÓÊÏä

Èý¡¢Æ¤·ôÆ÷¹ÙԭλÔÙÉú»Ø¸´»úÀí

×÷ÕߣºÐìÈÙÏé ³öÊéÉ磺Öйú¿ÆÑ§ÊÖÒÕ³öÊéÉç ¿¯ÐÐÈÕÆÚ£º2009Äê7ÔÂ
     [Ñݽ²¸å]ÔÚÈËÌå¸÷Æ÷¹ÙÖУ¬£¬ £¬£¬ £¬£¬£¬ £¬ÎÞÂÛÊǴӼܹ¹Õվɹ¦Ð§½²£¬£¬ £¬£¬ £¬£¬£¬ £¬Æ¤·ôºÍ賦¶¼ÊÇ×îÖ±¹ÛµÄÁ½´óÆ÷¹Ù£¬£¬ £¬£¬ £¬£¬£¬ £¬Í¬Ê±£¬£¬ £¬£¬ £¬£¬£¬ £¬Ò²ÊDZ£»£»£»£»£»¤ºÍ°ü¹Ü»úÌåÓªÑøÎïÖÊÎüÊÕµÄÁ½´óÆ÷¹Ù£¬£¬ £¬£¬ £¬£¬£¬ £¬ËüÃǹØÓÚÕû¸ö»úÌåÉúÃüÊDZØÐèµÄ£¬£¬ £¬£¬ £¬£¬£¬ £¬Ã»ÓÐÆ¤·ôºÍ賦¾ÍûÓÐÉúÃü¡£¡£¡£¡£¡£¡£¡£¡£Òò´Ë£¬£¬ £¬£¬ £¬£¬£¬ £¬¶ÔÈ«ÉíÆ÷¹ÙµÄÔÙÉú»Ø¸´£¬£¬ £¬£¬ £¬£¬£¬ £¬Ê×ÏÈÒª´ÓƤ·ôºÍ賦ÈëÊÖ¡£¡£¡£¡£¡£¡£¡£¡£±¾ÕÂÕë¶Ô¡°Æ¤·ôÆ÷¹ÙԭλÔÙÉú»Ø¸´¡±¾ÙÐÐÏêϸµÄÐðÊö¡£¡£¡£¡£¡£¡£¡£¡£
     Ƥ·ôÆ÷¹ÙÔÙÉú»Ø¸´ÊÖÒÕÊÇÕæÕýÒâÒåÉÏʵÏÖÆ¤·ôÆ÷¹ÙԭλÔÙÉú»Ø¸´£¬£¬ £¬£¬ £¬£¬£¬ £¬ÕâÊÇÈËÀàµÄÃÎÏ룬£¬ £¬£¬ £¬£¬£¬ £¬¸üÊÇÉúÃü¿ÆÑ§×îÇ°ÑØÒÑÀÖ³ÉʵÏÖµÄÈËÌåÔÙÉú¿ÆÑ§³É¼¨Ö®Ò»¡£¡£¡£¡£¡£¡£¡£¡£Æ¤·ôÔÙÉúºÍÉíÌåÄÚÆäËûÆ÷¹ÙԭλÔÙÉúÒ»Ñù£¬£¬ £¬£¬ £¬£¬£¬ £¬ÊÇʹÓÃÈËÌå×éÖ¯µÄDZÄÜÔÙÉúϸ°û£¨Æ¤·ô¾ßÓÐÔÙÉúDZÄܵÄϸ°ûºÍ½ÇÂѰ×19Ð͸Éϸ°û£©Ô­Î»ÔÙÉúΪ×éÖ¯Æ÷¹ÙÀ´ÊµÏֵ쬣¬ £¬£¬ £¬£¬£¬ £¬Í¬Ê±ÊµÏÖËùÓÐÆ¤·ôÆ÷¹ÙµÄÆÊ½â½á¹¹ºÍÐÄÀí¹¦Ð§µÄÄêÇữ£¬£¬ £¬£¬ £¬£¬£¬ £¬²¢Í¨¹ýÌá¸ßƤ·ôÆ÷¹ÙÉúÃüÔÙÉúÑÄÁ¦·¢ÄîÍ·Ìå¸÷Æ÷¹ÙÉúÃü»îÁ¦µÄÌá¸ß£¬£¬ £¬£¬ £¬£¬£¬ £¬Ö®ÒÔÊÇÄܹ»±»³ÆÖ®Îª¡°Æ¤·ôÆ÷¹ÙԭλÔÙÉú»Ø¸´ÊÖÒÕ¡±£¬£¬ £¬£¬ £¬£¬£¬ £¬¼´ÊÇ´ÓÈËÌåÆ÷¹ÙÔÙÉú¿ÆÑ§³É¼¨µÄ½Ç¶ÈÈëÊÖ£¬£¬ £¬£¬ £¬£¬£¬ £¬Ê¹ÓÃÆ÷¹ÙԭλÔÙÉúDZÄÜ£¬£¬ £¬£¬ £¬£¬£¬ £¬»Ø¸´Æ¤·ôÆ÷¹ÙÖÐÖÖÖÖϸ°ûºÍ×éÖ¯£¬£¬ £¬£¬ £¬£¬£¬ £¬Ê¹ÆäÔÙÉú»Ö»Ø¸´ÓеĽṹºÍ¹¦Ð§£¬£¬ £¬£¬ £¬£¬£¬ £¬ÊµÏÖÑÓ»ººÍÖÐֹƤ·ôÐàÂõ£¬£¬ £¬£¬ £¬£¬£¬ £¬ÊµÏÖÆ¤·ôÆ÷¹ÙÉúÃüÊÙÃüµÄÔÙÉú½ÓÁ¦£¬£¬ £¬£¬ £¬£¬£¬ £¬ÔÙÉú»Ø¸´Õû¸öƤ·ôÆ÷¹ÙÒѾ­Ê§È¥µÄÇà´º»îÁ¦¡£¡£¡£¡£¡£¡£¡£¡£
     ÏêϸµÄƤ·ôÆ÷¹ÙԭλÔÙÉú»Ø¸´ÊÖÒÕ»úÀí£¬£¬ £¬£¬ £¬£¬£¬ £¬³ýÈËÌåÆ÷¹ÙÔÙÉúµÄÅäºÏDZÄÜÔÙÉúϸ°ûԭλÔÙÉú»Ø¸´µÄϸ°ûѧ»úÀíÍ⣬£¬ £¬£¬ £¬£¬£¬ £¬ÎÒÔÚÕâÀï×ÅÖØÓÚ´ÓÆ¤·ô×é֯ѧ½²Æð¡£¡£¡£¡£¡£¡£¡£¡£Æ¤·ôµÄ×é³ÉºÍÈËÌåÆäËûÆ÷¹ÙµÄ×é³ÉÊÇÒ»ÑùµÄ£¬£¬ £¬£¬ £¬£¬£¬ £¬¶¼ÊÇÓÉÉÏÆ¤×éÖ¯¡¢½áµÞ×éÖ¯¡¢Éñ¾­×éÖ¯¡¢¼¡Èâ×éÖ¯×é³É¡£¡£¡£¡£¡£¡£¡£¡£´Ó×é֯ѧµÄ½Ç¶È½²£¬£¬ £¬£¬ £¬£¬£¬ £¬ÈËÌåÆ÷¹ÙµÄÔÙÉú±ØÐ轫ÕâËÄ´ó×éÖ¯ËùÓÐÔÙÉú£¬£¬ £¬£¬ £¬£¬£¬ £¬²Å»ªÊµÏÖÈËÌåÆ÷¹ÙµÄÔÙÉú£¬£¬ £¬£¬ £¬£¬£¬ £¬ÈôÊÇʵÏÖ²»ÁËËÄ´ó×éÖ¯µÄͬʱÔÙÉú£¬£¬ £¬£¬ £¬£¬£¬ £¬¾ÍûÓв½·¥ÕæÕýʵÏÖÆ÷¹ÙµÄÔÙÉú¡£¡£¡£¡£¡£¡£¡£¡£
     ¡¾×é֯ѧ¼°ÔÙÉúҽѧ»ù´¡ÀíÂÛ¡¿

      ÔÚÕâÀ£¬ £¬£¬ £¬£¬£¬ £¬ÓÃÈËÃÇÒÔΪ²»¿ÉÄܵĶÏָԭλÔÙÉú»Ø¸´ÊµÀý×öÒ»¸öÒýÉ꣨***µÄÀý×Ó£¬£¬ £¬£¬ £¬£¬£¬ £¬Ä´Ö¸Ð¡½ÚÀë¶Ï£¬£¬ £¬£¬ £¬£¬£¬ £¬Àë¶ÏºóÁ¬Ã¦ÔÚÒ½Ôº½«ÒѾ­¶ÏµôµÄ²¿·ÖÓëÄ´Ö¸¾ÙÐзìºÏÅþÁ¬£¬£¬ £¬£¬ £¬£¬£¬ £¬µ«·ìºÏºó¶ÏµôµÄÖ¸Ì岢ûÓгɻ£¬ £¬£¬ £¬£¬£¬ £¬´Ëºó£¬£¬ £¬£¬ £¬£¬£¬ £¬ÎÒÃDz»µÃ²»±ØÔÙÉúµÄÒªÁ죬£¬ £¬£¬ £¬£¬£¬ £¬¶ÔÒѾ­»µËÀµÄ¶Ïָԭλ¾ÙÐÐÔÙÉú£¬£¬ £¬£¬ £¬£¬£¬ £¬Ò»¸ö¶àÔµÄʱÖÐÖ¹Ö¸ÔÙÉúÍê³É£¬£¬ £¬£¬ £¬£¬£¬ £¬¼û¶ÏÖ¸ÔÙÉúµÄͼƬ£©£¬£¬ £¬£¬ £¬£¬£¬ £¬ÎÒÃǶ¼ÖªµÀ£¬£¬ £¬£¬ £¬£¬£¬ £¬¶ÏÖ¸ÔÙÉúÖÁ½ñÈÔ±»¿ÆÑ§½ç³ÆÎªÒ»ÖÖÃÎÏ룬£¬ £¬£¬ £¬£¬£¬ £¬ÓÉÓÚ¿ÆÑ§¼ÒÃǶ¼ºÜÇåÎúʵÏÖ¶ÏÖ¸ÔÙÉú¾ßÓÐÏ൱´óµÄÉúÃü¿ÆÑ§»ù´¡ÄѶȣ¬£¬ £¬£¬ £¬£¬£¬ £¬ËüÉæ¼°ÈËÌåËÄ´ó×éÖ¯¡¢60¶àÖÖ×éÖ¯Æ÷¹ÙµÄÔÙÉúºÍ»Ø¸´£¬£¬ £¬£¬ £¬£¬£¬ £¬Ã»ÓÐÆ÷¹ÙԭλÔÙÍâÐÐÒÕÖ§³Ö£¬£¬ £¬£¬ £¬£¬£¬ £¬ÓÀÔ¶¶¼ÎÞ·¨ÊµÏÖ¡£¡£¡£¡£¡£¡£¡£¡£2008Äê¿ÆÑ§ÔÓÖ¾»¹×éÖ¯250ÓàÃûר¼Ò¾ÙÐÐδÀ´ÉúÃü¿ÆÑ§Í»ÆÆµÄÑо¿Õ¹Íû£¬£¬ £¬£¬ £¬£¬£¬ £¬ÆäÖÐÖ¹Ö¸ÔÙÉúΪδÀ´ÓпÉÄÜʵÏÖµÄÉúÃü¿ÆÑ§Í»ÆÆ¡£¡£¡£¡£¡£¡£¡£¡£¶ÏÖ¸ÊÇÉæ¼°Ö¸¹Ç¡¢¼¡Èâ¡¢Éñ¾­¡¢¼×´²¡¢Æ¤·ôµÈµÄÀë¶Ï¡£¡£¡£¡£¡£¡£¡£¡£ÊµÏÖ¶ÏÖ¸ÔÙÉú£¬£¬ £¬£¬ £¬£¬£¬ £¬¿É²»ÊÇ¿´ËƼòÆÓµÄÐÄÀíÐÔÐÞ¸´£¬£¬ £¬£¬ £¬£¬£¬ £¬¶øÊDZØÐèÒª½ÓÄÉԭλÔÙÉú»Ø¸´ÊÖÒÕÔÙÉú»Ø¸´¶ÏÖ¹ØÁ¬Ä60¶àÖÖ×éÖ¯Æ÷¹Ù¡£¡£¡£¡£¡£¡£¡£¡£ÔÚÏÖÔÚÉúÃü¿ÆÑ§ºÍҽѧµÄÀíÂÛÉÏÊDz»¿ÉÄܵÄÊ£¬£¬ £¬£¬ £¬£¬£¬ £¬¿ÉÊÇ£¬£¬ £¬£¬ £¬£¬£¬ £¬ÎÒÃÇʵÏÖ¶ÏָԭλÔÙÉúµÄÊÖÒÕÒѾ­ÊÇ20ÄêǰµÄÁÙ´²Í¨ÀýÊÖÒÕÁË¡£¡£¡£¡£¡£¡£¡£¡£
     ÎÒÃǵĶÏÖ¸ÔÙÍâÐÐÒÕÊÇÖ¸¶ÏÖ¸´´ÃæÔÚÔÙÉúÓªÑøÎïÖʵÄ×÷ÓÃÏ£¬£¬ £¬£¬ £¬£¬£¬ £¬Í¬Ê±ÔÚÈËÌåµÄͳһµ÷¿ØÏ£¬£¬ £¬£¬ £¬£¬£¬ £¬ËÄ´ó×é֯ͬ²½ÔÙÉúÉú³¤£¬£¬ £¬£¬ £¬£¬£¬ £¬°üÀ¨Æ¤·ô¡¢¼¡Èâ¡¢¹Ç÷À¡¢¸½¼þµÈ£¬£¬ £¬£¬ £¬£¬£¬ £¬²¢ÇÒÆ½ÐÐÏòÉÏÒÆÐУ¬£¬ £¬£¬ £¬£¬£¬ £¬ÕâÑùԼĪ50Ìì¶ÏÖ¸¾Í¿ÉÒÔÍêÈ«»Ø¸´ÁË£¬£¬ £¬£¬ £¬£¬£¬ £¬²¢Çһظ´ºóµÄ×éÖ¯Æ÷¹ÙÓëÔ­ÓÐÆ÷¹ÙÍêȫһÑù£¬£¬ £¬£¬ £¬£¬£¬ £¬Ã»Óнӿںͺۼ££¬£¬ £¬£¬ £¬£¬£¬ £¬Æä¹¦Ð§Ò²ºÍÔ­À´Î´¶Ïָʱ100%Ò»Ñù¡£¡£¡£¡£¡£¡£¡£¡£ÏÖÔÚ£¬£¬ £¬£¬ £¬£¬£¬ £¬ÓеÄÒ½Ôº½ö¶ÏÖ¸ÔÙÉú¾Í¿ÉÖÎÓúÉÏǧÀý£¬£¬ £¬£¬ £¬£¬£¬ £¬Ïñ¶«Ý¸¶«»ªÒ½Ôº¾­Í³¼ÆÒѾ­ÖÎÓú¶ÏÖ¸»¼Õß2769Àý£¬£¬ £¬£¬ £¬£¬£¬ £¬ÒÔÊÇÎÒÃÇ·¢Ã÷µÄÕâÏî±»µ±½ñ¿ÆÑ§½ç³ÆÖ®ÎªÌ췽ҹ̷µÄ¶ÏÖ¸ÔÙÍâÐÐÒÕ£¬£¬ £¬£¬ £¬£¬£¬ £¬ÔçÒѳÉΪһÏîͨÀýÊÖÒÕÔÚÎÒ¹úÁÙ´²Éϱ»ÆÕ±éÓ¦Óᣡ£¡£¡£¡£¡£¡£¡£
     Í¨¹ýÒÔÉ϶ÏÖ¸ÔÙÉúµÄʵ¼ù£¬£¬ £¬£¬ £¬£¬£¬ £¬²»ÐèÒªÔٶིʲô¾Í¿ÉÖªµÀ£¬£¬ £¬£¬ £¬£¬£¬ £¬¶ÏÖ¸ÔÙÉú¶¼Äܹ»ÊµÏÖ£¬£¬ £¬£¬ £¬£¬£¬ £¬Æ¤·ôÔÙÉúÔòÊǺܼòÆÓµÄÊÂÇéÁË£¬£¬ £¬£¬ £¬£¬£¬ £¬¸ü¿öÇÒÎÒÃÇÒѾ­ÔÙÉúÁË23¸ö¹ú¼ÒµÄ2000¶àÍòÉÕÉ˲¡ÈËµÄÆ¤·ô£¬£¬ £¬£¬ £¬£¬£¬ £¬ÈËµÄÆ¤·ôÔÙÉú»Ø¸´ÂíÉÏ»áÔÚÈκÎÈ˵ÄÉíÌåÉϱ¬·¢£¬£¬ £¬£¬ £¬£¬£¬ £¬ÈËÃǾͻáºÜ¿ìÀë±ðƤ·ôµÄÐàÂõ£¬£¬ £¬£¬ £¬£¬£¬ £¬³¤Ê±¼ä¼á³ÖƤ·ôÆ÷¹ÙµÄÄêÇá״̬£¬£¬ £¬£¬ £¬£¬£¬ £¬×ÝÈ»ÒѾ­ÐàÂõµÄƤ·ôÒ²²»±Øµ£ÐÄ£¬£¬ £¬£¬ £¬£¬£¬ £¬¿ÉÔÙÉú»Ø¸´»ØÓ¦ÓеÄÄêÇá״̬ÁË¡£¡£¡£¡£¡£¡£¡£¡£
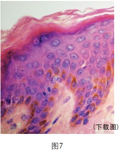
     Æ¤·ôÆ÷¹ÙÖеÄÉÏÆ¤×éÖ¯°üÀ¨±íƤºÍÕæÆ¤ÔÚÄÚµÄÒ»Ð©ÌØÊ⸽¼þ£¬£¬ £¬£¬ £¬£¬£¬ £¬Ïñº¹ÏÙ¡¢Æ¤Ö¬ÏÙ¡¢Ñª¹ÜÄÚÆ¤µÈ£¬£¬ £¬£¬ £¬£¬£¬ £¬¶¼Êǹ¦Ð§ÐԵ쬣¬ £¬£¬ £¬£¬£¬ £¬»ùµ×ĤÒÔÉÏµÄ±íÆ¤²¿·Ö¶¼ÊÇÉÏÆ¤×éÖ¯£¬£¬ £¬£¬ £¬£¬£¬ £¬ÓÉ»ùµ×ĤÑÓÉìµ½ÕæÆ¤ÄÚÀïµÄƤ·ô¸½¼þºÃ±Èº¹ÏÙ¡¢Æ¤Ö¬ÏÙÄܱ¬·¢Ðí¶àµÄÉøÍ¸¹¦Ð§£¬£¬ £¬£¬ £¬£¬£¬ £¬Òò´Ë£¬£¬ £¬£¬ £¬£¬£¬ £¬ÉÏÆ¤×éÖ¯ÔÚÆ¤·ôÆ÷¹ÙµÄ¹¦Ð§ÖÐʩչ×ÅÖ÷ÒªµÄ×÷Óᣡ£¡£¡£¡£¡£¡£¡£
     Æ¤·ôÆ÷¹ÙÖеĽáµÞ×éÖ¯°üÀ¨±íƤ»ùµ×Ĥ¡¢ÕæÆ¤×éÖ¯¡¢Æ¤ÏÂ×éÖ¯¡¢ÑªÒº¡£¡£¡£¡£¡£¡£¡£¡£Ö÷ÒªÆðµæ³ÄƤ·ô¸½¼þ¡¢Ö§³ÖƤ·ô±íƤ¡¢±£»£»£»£»£»¤»úÌåµÈ×÷Óᣡ£¡£¡£¡£¡£¡£¡£
     Æ¤·ôÆ÷¹ÙÖеÄÉñ¾­×éÖ¯Ö÷ÒªÊÇÉñ¾­ÏËάºÍÖÖÖÖÉñ¾­Ð¡Ì壬£¬ £¬£¬ £¬£¬£¬ £¬¾ßÓнÓÊܴ̼¤ºÍ´«µ¼Ð˷ܵĹ¦Ð§£¬£¬ £¬£¬ £¬£¬£¬ £¬ÊÇÆ¤·ô¼°Æ¤·ô¸½¼þÔ˶¯µÄ¹¦Ð§µ¥Î»¡£¡£¡£¡£¡£¡£¡£¡£
     Æ¤·ôÆ÷¹ÙÖеļ¡Èâ×éÖ¯Ö÷Òª°üÀ¨Ñª¹Üƽ»¬¼¡¡¢º¹Ã«Á¢Ã«¼¡ÒÔ¼°º¹ÏÙÖÜΧµÄ¼¡Ï¸°û£¬£¬ £¬£¬ £¬£¬£¬ £¬Õý³£Æ¤·ôÄڵļ¡Èâ×éÖ¯ÔÚÊܵ½´Ì¼¤ÐźÅʱ»á±¬·¢ÏìÓ¦µÄËõ¶Ì·´Ó¦£¬£¬ £¬£¬ £¬£¬£¬ £¬Ò²¿ÉËæÆ¤·ôÆ÷¹Ù×ÔÉíºÍ»úÌå×ÔÉíµÄÌåÒºµ÷Àí±¬·¢Ëõ¶Ì·´Ó¦¡£¡£¡£¡£¡£¡£¡£¡£
     ÎÒÃÇÒªÏëʵÏÖÕý³£¡¢·ÇËðÉËÐÔÆ¤·ôµÄÔÙÉú»Ø¸´£¬£¬ £¬£¬ £¬£¬£¬ £¬±ØÐèÊ×ÏÈÆô¶¯ÉÏÊöÔ­ÓÐÆ¤·ôÖÐËÄ´ó×éÖ¯µÄԭλ×Ô¶¯ÔÙÉú¸üУ¬£¬ £¬£¬ £¬£¬£¬ £¬´ÓÊÖÒÕÄѶÈÉÏÀ´ËµÒª±ÈËðÉËÐÔÆ¤·ôÔÙ»Ö¸´ÒªÄÑ¿°¶à£¬£¬ £¬£¬ £¬£¬£¬ £¬ÓÉÓÚËðÉËÐÔµÄÆ¤·ô£¬£¬ £¬£¬ £¬£¬£¬ £¬¿ÉÒÔͨ¹ýÔÙÉúÈÃËüÖØÐÂÉú³¤£¬£¬ £¬£¬ £¬£¬£¬ £¬µ«ÐàÂõƤ·ôµÄϸ°û»¹ÔÚ£¬£¬ £¬£¬ £¬£¬£¬ £¬ÔõÑùÈÃËü¸üгÉÄêÇáµÄÊÇÒ»´óеÄÄÑÌâ¡£¡£¡£¡£¡£¡£¡£¡£¿ÉÊÇ£¬£¬ £¬£¬ £¬£¬£¬ £¬ÎÒÃÇÏÖÔÚÖÕÓÚÀÖ³ÉÁË£¬£¬ £¬£¬ £¬£¬£¬ £¬¿ÉÒÔÈ÷ÇËðÉËÐÔµÄÆ¤·ô¡¢Î¸³¦¡¢Î¸³¦Õ³Ä¤ËùÓÐʵÏÖԭλÔÙÉú¸üУ¬£¬ £¬£¬ £¬£¬£¬ £¬ÊÂʵ֤ʵ£¬£¬ £¬£¬ £¬£¬£¬ £¬½ÓÊÜÔÙÉú»Ø¸´ÔÙÍâÐÐÒÕµÄËùÓÐÈ˶¼»ñµÃÁËͬÑùµÄ¿ÉϲЧ¹û£¬£¬ £¬£¬ £¬£¬£¬ £¬Õ³Ä¤ÄÜÖØÐÂԭλÔÙÉú³öÀ´£¬£¬ £¬£¬ £¬£¬£¬ £¬Æ¤·ôÖð½¥ÖÕÖ¹ÐàÂõ²¢»Ö¸´ÄêÇáµÈµÈ¡£¡£¡£¡£¡£¡£¡£¡£ÓÉÓÚÆ¤·ô´¦ÔÚÍâÇéÐÎÖÐÊܵ½µÄ´Ì¼¤±È賦¸ü´ó£¬£¬ £¬£¬ £¬£¬£¬ £¬¼Ó֮Ƥ·ôÆ÷¹ÙµÄÐÄÀíÌØÊâÐÔ£¬£¬ £¬£¬ £¬£¬£¬ £¬²¢ÇÒÆ¤·ô½Ó´¥µÄÎïÖÊÓÉÓÚѪ¹ÜµÄ¹¦Ð§ÎÊÌ⣬£¬ £¬£¬ £¬£¬£¬ £¬Ò»Ð©¾ßÓа뿹ԭÐÔµÄÒòËØÏÕЩÎÞ·¨ÎüÊÕ£¬£¬ £¬£¬ £¬£¬£¬ £¬ÒÔÊÇÎÒÃÇ¶ÔÆ¤·ôÆ÷¹ÙµÄÔÙÉú½ÓÄÉÁËÍâÔ´ÐÔµ¼ÈëºÍÄÚÔ´ÐÔ¿Ú·þÏàÍŽáµÄÒªÁì¡£¡£¡£¡£¡£¡£¡£¡£ËäÈ»½öÍâÔ´ÐÔÔÙÉúÎïÖʾÍÄÜÆðµ½ºÜºÃµÄ×÷Ó㬣¬ £¬£¬ £¬£¬£¬ £¬µ«¼ÓÉÏÄÚÔ´ÐÔÔÙÉúÎïÖʾÍÄÜʹƤ·ôÆ÷¹Ùԭλ×ÔÎÒ¸üкÍ×ÔÎÒÔÙÉú»Ø¸´ÐàÂõµÄ×éÖ¯¡£¡£¡£¡£¡£¡£¡£¡£
     ¡¾ÔÙÉúÎïÖÊÓë½áµÞ×éÖ¯µÄ¹ØÏµ¡¿
     ±¾½ÚÕë¶ÔƤ·ôÆ÷¹ÙºÍÆäÖеÄÉÏÆ¤×éÖ¯¡¢½áµÞ×éÖ¯µÈÕâЩ»ù´¡µÄ×é֯ѧ֪ʶ¾ÙÐÐÐðÊö¡£¡£¡£¡£¡£¡£¡£¡£¸÷È˶¼Ó¦ÊìϤ£¬£¬ £¬£¬ £¬£¬£¬ £¬±íƤÄÚ´Ó»ùµ×ĤÒÔÉϵͼÊÇÉÏÆ¤×éÖ¯£¬£¬ £¬£¬ £¬£¬£¬ £¬ÓÉ±íÆ¤»ùÄÚÇé°û²ãÑÓÉìµ½ÕæÆ¤ÄÚÀïµÄƤ·ô¸½¼þ£¬£¬ £¬£¬ £¬£¬£¬ £¬ºÃ±Èº¹ÏÙ¡¢Æ¤Ö¬ÏÙ£¬£¬ £¬£¬ £¬£¬£¬ £¬Ò²ÊÇÉÏÆ¤×éÖ¯,Äܱ¬·¢Ðí¶àµÄÉøÍ¸¹¦Ð§¡£¡£¡£¡£¡£¡£¡£¡£ÕæÆ¤ÄÚÓнáµÞ×éÖ¯¼°Æ¤·ô¸½¼þ£¬£¬ £¬£¬ £¬£¬£¬ £¬½áµÞ×éÖ¯ÓжàÖÖ£¬£¬ £¬£¬ £¬£¬£¬ £¬ÓÐÅþÁ¬µÄ£¬£¬ £¬£¬ £¬£¬£¬ £¬Óеæ³ÄÖ§³ÖµÄ£¬£¬ £¬£¬ £¬£¬£¬ £¬ÓкϳÉÏËάµÄµÈ¡£¡£¡£¡£¡£¡£¡£¡£¶ø½áµÞ×éÖ¯µÄ¹¦Ð§¾ÍÊÇÅþÁ¬µæ³Ä£¬£¬ £¬£¬ £¬£¬£¬ £¬ËùÓÐÆ÷¹ÙÄÚÀï¶¼º¬ÓÐÕâЩ×éÖ¯¡£¡£¡£¡£¡£¡£¡£¡£
     ÎªÊ²Ã´Èø÷ÈËÏÈÏàʶƤ·ôÄÚµÄ×éÖ¯ÒòËØ£¿£¿£¿ £¿£¿ÓÉÓÚÎÒËù˵µÄÔÙÉúÓëÕâЩ×éÖ¯¹ØÏµÇ×½ü¡£¡£¡£¡£¡£¡£¡£¡£ÎÒÃÇ´ÓÍâÔ´ÐԵĵ¼ÈëÔÙÉúÎïÖʱ¬·¢µÄÔÙÉúЧ¹û¿´£¬£¬ £¬£¬ £¬£¬£¬ £¬ÔÙÉúÓªÑøºóƤ·ôÖð½¥±¥ÂúÆðÀ´£¬£¬ £¬£¬ £¬£¬£¬ £¬ÇÒЧ¹ûºÜÊÇÏÔ×Å£¬£¬ £¬£¬ £¬£¬£¬ £¬µ«ÕâÁ¬Ã¦Õ¹Ïֵı¥Âú»¹²»ÊÇϸ°ûÔÙÉú±¬·¢µÄЧ¹û£¬£¬ £¬£¬ £¬£¬£¬ £¬¶øÊÇÔÙÉúÎïÖÊÓëÏÖÓеĽáµÞ×éÖ¯ÈÚºÏת±äµÄ¹ØÏµ¡£¡£¡£¡£¡£¡£¡£¡£ÎÒÃÇͨ¹ýÑõÆøµÄѹÁ¦£¬£¬ £¬£¬ £¬£¬£¬ £¬°ÑÎÒÃÇÕâÖÖÔÙÉúÎïÖʵ¼Èëµ½ÕæÆ¤À£¬ £¬£¬ £¬£¬£¬ £¬Ëü¾Í³äÂúµ½½ºÔ­ÂѰ×˿֮¼ä£¬£¬ £¬£¬ £¬£¬£¬ £¬¶ø½ºÔ­ÂѰ×Ë¿±£´æÓÚ¾ßÓÐÅþÁ¬¡¢µæ³ÄÖ§³Ö¹¦Ð§µÄ½áµÞ×éÖ¯ÖУ¬£¬ £¬£¬ £¬£¬£¬ £¬ÔÙÉúÎïÖÊÓë½áµÞ×éÖ¯ÈÚºÏÔÚÒ»Æð£¬£¬ £¬£¬ £¬£¬£¬ £¬Æ¤·ôÁ¬Ã¦±¥ÂúÁË¡£¡£¡£¡£¡£¡£¡£¡£ÓÐЩҽѧÕûÐÎÃÀÈÝ£¬£¬ £¬£¬ £¬£¬£¬ £¬Ö±½Ó½«½ºÔ­µÈ×¢ÈëÆ¤Ï£¬£¬ £¬£¬ £¬£¬£¬ £¬ËäÈ»´ÓÍâòÉÏ¿´ÆðÀ´Æ¤·ôÒ²±¥ÂúÁË£¬£¬ £¬£¬ £¬£¬£¬ £¬µ«ÏÖʵÉϲ¢Ã»Óб»ÈËÌåÎüÊÕ£¬£¬ £¬£¬ £¬£¬£¬ £¬¶ø³ÉΪÒìÎïÔÚÌåÄÚÐγÉһö׼ʱըµ¯£¬£¬ £¬£¬ £¬£¬£¬ £¬ËæÊ±¶¼¿ÉÄܶÔÈËÌ屬·¢Î£º¦¡£¡£¡£¡£¡£¡£¡£¡£¶øÎÒÃǵÄÔÙÉúÎïÖʵ¼ÈëÕæÆ¤ÒÔºó¾ÍºÍÕæÆ¤ÄÚÀïµÄ½áµÞ×éÖ¯ÈÚºÏÁË¡£¡£¡£¡£¡£¡£¡£¡£Æ¤·ô½áµÞ×éÖ¯°üÀ¨ÁËÏËά¡¢Ï¸°ûÍâ¼äÖʵȣ¬£¬ £¬£¬ £¬£¬£¬ £¬µ«²»Êǹ¦Ð§µ¥Î»£¬£¬ £¬£¬ £¬£¬£¬ £¬Ëü90%µÄÒòËØÊÇÖ¬·¾Ëá¡£¡£¡£¡£¡£¡£¡£¡£ËäÈ»³ÉÏËάϸ°û±¬·¢µÄ½ºÔ­ÂѰ×Ë¿ÊÇÒÔ°±»ùËáΪÖ÷£¬£¬ £¬£¬ £¬£¬£¬ £¬µ«Ò²±ØÐèÍŽáÖ¬·¾Ëá²Å»ªÐγÉ¡£¡£¡£¡£¡£¡£¡£¡£½ºÔ­ÂѰ×Ë¿²»ÓëÍâÔ´½ºÔ­ÂѰ×ÖÊÍŽᣬ£¬ £¬£¬ £¬£¬£¬ £¬²»ÊÇ˵°Ñ½ºÔ­ÂѰ׷ÅÔÚÆ¤·ôÄÚ¾ÍÄÜÐγÉË¿£¬£¬ £¬£¬ £¬£¬£¬ £¬¶øÊÇÕâÖÖ½ºÔ­ÂѰ×Ë¿±ØÐèͨÏ꾡°ûµÄÉúÎï×ÔÎҺϳɲÅÐУ¬£¬ £¬£¬ £¬£¬£¬ £¬½èÓÃÈκÎÍâÔ´ÐÔµÄÊֶκñÈÒûʳֱ½ÓÉãÈë¸ßÂѰ׵ȶ¼Ã»Óв½·¥Ö±½ÓÌìÉú¡£¡£¡£¡£¡£¡£¡£¡£ÔÙÕߣ¬£¬ £¬£¬ £¬£¬£¬ £¬ÈôÊÇ´ÓÆ¤·ôÍâÃæÖ±½Óµ¼ÈëÂѰ×ÖÊ£¬£¬ £¬£¬ £¬£¬£¬ £¬ÕâЩÂѰ×Öʼ´±ãÄܹ»½øÈëÆ¤Ï£¬£¬ £¬£¬ £¬£¬£¬ £¬Ò²±ØÐèÊ×ÏÈÆÊÎö³É°±»ùËá²Å¿ÉÄܱ»ÎüÊÕºÍʹÓ㬣¬ £¬£¬ £¬£¬£¬ £¬¿ÉÊÇ£¬£¬ £¬£¬ £¬£¬£¬ £¬ÔÚÕý³£ÇéÐÎϰ±»ùËᱻϸ°ûʹÓÃÊÇÓÐÌõ¼þÏÞÖÆµÄ£¬£¬ £¬£¬ £¬£¬£¬ £¬ÒªÆ¾Ö¤Ï¸°ûµÄÐÄÀíÐèÇóµ¼È룬£¬ £¬£¬ £¬£¬£¬ £¬²»ÊÇÒ»¸ö¼òÆÓµÄÎïÀíÀú³Ì£¬£¬ £¬£¬ £¬£¬£¬ £¬Òò´Ë£¬£¬ £¬£¬ £¬£¬£¬ £¬Ö±½Óµ¼ÈëÂѰ×ÖÊÒ²ÊDz»¿ÉÐеÄ¡£¡£¡£¡£¡£¡£¡£¡£×é³É½ºÔ­ÂѰ׵ݱ»ùËáÓÐ18ÖÖ£¬£¬ £¬£¬ £¬£¬£¬ £¬ÕâЩ°±»ùËáҪʩչ»îÐÔ£¬£¬ £¬£¬ £¬£¬£¬ £¬±ØÐèÒªÓÐÔØÌ壬£¬ £¬£¬ £¬£¬£¬ £¬Õâ¸öʹËû¾ßÓлîÐÔµÄÔØÌå¾ÍÊÇÎÒÃÇҪǿµ÷µÄÎïÖÊ¡ª¡ª¡°Ö¬·¾ËáÀàÎïÖÊ¡±(Ƥ·ôÔÙÉúÎïÖÊ)£¬£¬ £¬£¬ £¬£¬£¬ £¬ ¡°Ö¬·¾ËáÀàÎïÖÊ¡±ÊÇÒ»×é²»±¥ºÍÖ¬·¾Ëá¡£¡£¡£¡£¡£¡£¡£¡£ÕâÏîÊÖÒÕÊÇÎÒÃÇ·¢Ã÷µÄ£¬£¬ £¬£¬ £¬£¬£¬ £¬ËüµÄȪԴ·ÇͬѰ³££¬£¬ £¬£¬ £¬£¬£¬ £¬ÊÇÎÒÃÇÆ¾Ö¤Æ¤·ô×é֯ѧºÍÆ÷¹ÙÔÙÉúѧµÄʵÑéÑо¿³öÀ´µÄ¡£¡£¡£¡£¡£¡£¡£¡£
     ÕâЩ½áµÞ×éÖ¯ÊÇÕæÆ¤µÄÖ÷Òª×é³ÉÒòËØ£¬£¬ £¬£¬ £¬£¬£¬ £¬±ØÐèÓªÑøºÃ²Å»ª»Ø¸´ÎªÄêÇá״̬¡£¡£¡£¡£¡£¡£¡£¡£ÒªÊ¹ÕâЩ½ºÔ­ÂѰ×Ë¿»Ö¸´ÕûÆëÓÐÐò£¬£¬ £¬£¬ £¬£¬£¬ £¬±ØÐèͨ¹ýÁ½¸ö;¾¶£¬£¬ £¬£¬ £¬£¬£¬ £¬Ò»¸ö;¾¶Ö±½Óͨ¹ýƤ·ôµ¼È룬£¬ £¬£¬ £¬£¬£¬ £¬ÓÃÁ½¸ö´óÆøÑ¹µÄ¸ßѹÑõÆøµ¼ÈëÕâÖÖ²»±¥ºÍÖ¬·¾Ëᣬ£¬ £¬£¬ £¬£¬£¬ £¬ÈÃËü¼ÓÈëµ½ÕæÆ¤½áµÞ×éÖ¯´úлÄÚÀ£¬ £¬£¬ £¬£¬£¬ £¬¿ÉÒÔÁ¢×ÝÈ»ËÉÉ¢µÄ½áµÞ×éÖ¯ºÍÏËά³ÉÊø£¬£¬ £¬£¬ £¬£¬£¬ £¬ÒÔÊÇÌåÑé¹ýÎÒÃÇÆ¤·ôÆ÷¹ÙԭλÔÙÉú»Ø¸´ÔÙÉúµÄÈ˶¼»á·¢Ã÷ÔÙÉúÎïÖʵ¼Èëºó»áÂíÉÏÊÕЧ¡£¡£¡£¡£¡£¡£¡£¡£ÁíÒ»¸ö;¾¶ÊÇͨ¹ýÔÙÉúÎïÖʱ»³ÉÏËάϸ°û²Ïʳºó£¬£¬ £¬£¬ £¬£¬£¬ £¬Ê¹³ÉÏËάϸ°ûԭλÔÙÉú»Ø¸´ÏòÄêÇá״̬¹ý¶É£¬£¬ £¬£¬ £¬£¬£¬ £¬Ê¹±¬·¢µÄ½ºÔ­ÏËάÂѰ×˿ͳöºó²»ÔÙ³ÉÉ¢×´µÄ£¬£¬ £¬£¬ £¬£¬£¬ £¬¶øÊÇÖØÐ³ÉÊø×´µÄ£¬£¬ £¬£¬ £¬£¬£¬ £¬ÕâÑù²Å»ª°ü¹ÜƤ·ôÔÚÖÐÄêʱÆÚ·ºÆðÒ»ÖÖÄêÇáµÄ״̬¡£¡£¡£¡£¡£¡£¡£¡£
¡¾ÔÙÉúÎïÖÊÓëÆ¤·ôÉñ¾­×éÖ¯µÄ¹ØÏµ¡¿
     ¾öÒ鯤·ôµÄ״̬ÄêÇáÓë·ñ³ýÁËÒÔÉÏÁ½¸öÖ÷ÒªµÄ·½Ã棬£¬ £¬£¬ £¬£¬£¬ £¬ÁíÒ»¸ö¾ÍÊÇÆ¤·ô¸½¼þºÍÉñ¾­×éÖ¯¡£¡£¡£¡£¡£¡£¡£¡£ÈôÊÇÆ¤·ôÆ÷¹ÙÄÚÀïµÄÉñ¾­×éÖ¯²»Ê¼ÖÕ¼á³ÖÒ»ÖÖÐËÍú״̬£¬£¬ £¬£¬ £¬£¬£¬ £¬Æ¤·ôҲûÓлîÁ¦¡£¡£¡£¡£¡£¡£¡£¡£Æ¤·ôµÄÉñ¾­×éÖ¯ËäÈ»²»ÊÇÖÐÊàÉñ¾­£¬£¬ £¬£¬ £¬£¬£¬ £¬¿ÉÊÇÓÐÉñ¾­ÏËά¡¢Éñ¾­Ä©ÉÒ¡¢Ñ¹¾õÉñ¾­Ð¡Ìå¡¢¸ÐÊÜÉñ¾­Ð¡Ìå¡£¡£¡£¡£¡£¡£¡£¡£Ö»ÒªÕâЩÉñ¾­×éÖ¯Äܼá³ÖÎÞа״̬£¬£¬ £¬£¬ £¬£¬£¬ £¬ÈËµÄÆ¤·ô¾Í»áÓж¯¸Ð£¬£¬ £¬£¬ £¬£¬£¬ £¬ÒÔÊÇ£¬£¬ £¬£¬ £¬£¬£¬ £¬ÎÒÃÇÔÚ¾ÙÐÐÆ¤·ôÆ÷¹ÙÔÙÉú»Ø¸´Ê±µ¼ÈëµÄÔÙÉúÎïÖÊÄÚÀïÒ²º¬ÓÐÓªÑøÉñ¾­µÄÎïÖÊ£¬£¬ £¬£¬ £¬£¬£¬ £¬¿ÉÊÇÕâÖÖÎïÖʾø¶Ô²»ÊÇÐ˷ܼÁ£¬£¬ £¬£¬ £¬£¬£¬ £¬¶øÊÇͨ¹ýÉñ¾­µÄÔÙÉúÈÃÉñ¾­»Ö¸´¶¯¸Ð¡£¡£¡£¡£¡£¡£¡£¡£ÆäÖлָ´µÄÖ÷Ҫϸ°ûÊÇÑ©ÍúÊÏϸ°û£¬£¬ £¬£¬ £¬£¬£¬ £¬°ÑÄÜÈÃÑ©ÍúÊÏϸ°ûÔÙÉúµÄÒòËØÌí¼Óµ½Òªµ¼ÈëµÄÔÙÉúÎïÖÊÄÚÀï¡£¡£¡£¡£¡£¡£¡£¡£Ñ©ÍúÊÏϸ°û¾ÍÊÇÉñ¾­ÏËάÍâÃæ°üÈÆµÄÉñ¾­Ï¸°û£¬£¬ £¬£¬ £¬£¬£¬ £¬Ã»ÓÐÑ©ÍúÊÏϸ°û£¬£¬ £¬£¬ £¬£¬£¬ £¬Éñ¾­ÏËά¾Íʧȥ¹¦Ð§¡£¡£¡£¡£¡£¡£¡£¡£ÔÚÆ¤·ôÄÚÀïÒª¼á³ÖÉñ¾­Ä©ÉÒµÄÐË·ÜÐÔºÍÉñ¾­Ð¡ÌåµÄÐË·ÜÐÔ£¬£¬ £¬£¬ £¬£¬£¬ £¬¾ÍÔöÌíÔÚÊÔÑéÉñ¾­ÔÙÉúµÄʱ¼äÌáÈ¡À´µÄÓªÑøÔÙÉúÎïÖÊÒòËØ¡£¡£¡£¡£¡£¡£¡£¡£ÉúÑÄÖÐÍÆÄÃÒ²¿ÉÒÔ±¬·¢¸ÐÊÜÉñ¾­ºÍѹ¾õÉñ¾­´Ì¼¤£¬£¬ £¬£¬ £¬£¬£¬ £¬Ê¹È˸ÐÓ¦ºÜã«Ò⣬£¬ £¬£¬ £¬£¬£¬ £¬µ«ºã¾Ã´Ì¼¤¾Í»áʧȥЧ¹û£¬£¬ £¬£¬ £¬£¬£¬ £¬ÕâÊÇÓÉÓÚÕâÖÖÉúÑÄÃÀÈݲ¢Ã»ÓжÔÉúÃüÌå×Ô¼º¸Ä±äʲô¡£¡£¡£¡£¡£¡£¡£¡£Òò´Ë£¬£¬ £¬£¬ £¬£¬£¬ £¬ÎÒÃÇ˵ҪÈÃÉñ¾­¶¯ÆðÀ´£¬£¬ £¬£¬ £¬£¬£¬ £¬ÈÃÆäÐË·Ü£¬£¬ £¬£¬ £¬£¬£¬ £¬µ«ÕâÖÖÐ˷ܲ»ÊÇÄÇÖÖҩѧµÄÐË·ÜÐÔ£¬£¬ £¬£¬ £¬£¬£¬ £¬¶øÊÇÐÄÀíµÄÔÙÉú»Ö¸´µÄÐË·ÜÐÔ£¬£¬ £¬£¬ £¬£¬£¬ £¬Ò²¾ÍÊÇÓÃͨÏ꾡°ûºÍ×éÖ¯Æ÷¹ÙÊÔÑé»ñµÃµÄÔÙÉúÎïÖÊ£¬£¬ £¬£¬ £¬£¬£¬ £¬²Å»ªÕæÕýʹÆä»Ö¸´Ê©Õ¹ÐÄÀí×÷Óᣡ£¡£¡£¡£¡£¡£¡£

     ¡¾Æ¤·ô¼¡Èâ×éÖ¯ÔÙÉúÓëÆ¤·ôÔÙÉú»Ø¸´µÄ¹ØÏµ¡¿
      ¼¡Èâ×éÖ¯ÔÚÆ¤·ôÖÐÖ÷ÒªÊǺ¹Ã«Á¢Ã«¼¡ºÍѪ¹Ü±ÚµÄƽ»¬¼¡£¡£¡£¡£¡£¡£¡£¡£¬£¬ £¬£¬ £¬£¬£¬ £¬¼¡ÈâºÍÉñ¾­ÊÇÁ¬ÔÚÒ»ÆðµÄ£¬£¬ £¬£¬ £¬£¬£¬ £¬Ò»Ð©¸ÐÊÜÉñ¾­¡¢Ñ¹Á¦Éñ¾­µÄÉñ¾­Ä©ÉÒ£¬£¬ £¬£¬ £¬£¬£¬ £¬ÔÚ±¬·¢ÐÅÏ¢´«¸ø´óÄԺ󣬣¬ £¬£¬ £¬£¬£¬ £¬´óÄÔ×ÔÉí£¬£¬ £¬£¬ £¬£¬£¬ £¬»òÖ¸»ÓÆäËûÆ÷¹Ù±¬·¢ÖÖÖÖ¼¤ËØ£¬£¬ £¬£¬ £¬£¬£¬ £¬ÕâЩ¼¤ËØÍ¨¹ýÌåҺѭ»·µÖ´ïƤ·ô£¬£¬ £¬£¬ £¬£¬£¬ £¬Ê¹Æ¤·ôÄð³ÉÀàËÆÓÚÈËÉñ²ÉÞÈÞȵÄ״̬¡£¡£¡£¡£¡£¡£¡£¡£ÕâÖ÷ÒªÌåÏÖÔÚÆ¤·ôµÄ΢ѭ»·ÉÏ£¬£¬ £¬£¬ £¬£¬£¬ £¬ºÃ±ÈÉúÆøµÄʱ¼äÃæ²¿ÑÕÉ«µÄת±ä¾ÍÊÇ´óÄÔ±¬·¢µÄÐ˷ܼ¤ËضÔѪ¹ÜµÄ·´Ó¦£¬£¬ £¬£¬ £¬£¬£¬ £¬Ñª¹ÜÓЦÁºÍ¦ÂÊÜÌ壬£¬ £¬£¬ £¬£¬£¬ £¬¦ÂÊÜÌåʹѪ¹ÜÀ©ÕÅ£¬£¬ £¬£¬ £¬£¬£¬ £¬½ÓÊܼ¤ËغóÃæÉ«±äºì£»£»£»£»£»¦ÁÊÜÌåʹѪ¹ÜËõ¶Ì£¬£¬ £¬£¬ £¬£¬£¬ £¬½ÓÊܼ¤ËغóÃæÉ«±ä°×¡£¡£¡£¡£¡£¡£¡£¡£ÕâÁ½ÖÖÊÜÌå¿¿ÌåÒºÖ§Å䣬£¬ £¬£¬ £¬£¬£¬ £¬²»ÊÇͨ¹ý¾Ö²¿´Ì¼¤¿ÉÒÔ±¬·¢µÄ¡£¡£¡£¡£¡£¡£¡£¡£¸÷È˳£¼ûµ½µÄÄÇÖÖÆ¤·ô±»ÅÄ´òʺ󣬣¬ £¬£¬ £¬£¬£¬ £¬¾Ö²¿»á±äºì£¬£¬ £¬£¬ £¬£¬£¬ £¬Äǿɲ»ÊÇÕâÖÖÔµ¹ÊÔ­ÓÉÔì³ÉµÄ£¬£¬ £¬£¬ £¬£¬£¬ £¬¶øÊǾֲ¿ÓÐÁËËðÉË¡£¡£¡£¡£¡£¡£¡£¡£ÒÔÊÇÎÒÃÇÔÚÆ¤·ôÔÙÉúµÄʱ¼äÒ²ÒªÌØÊâ×¢ÖØÆ¤·ô¼¡Èâ×éÖ¯¡¢Ñª¹Ü×éÖ¯µÄ·´Ó¦¡£¡£¡£¡£¡£¡£¡£¡£

      ÁíÍ⣬£¬ £¬£¬ £¬£¬£¬ £¬Æ¤·ôÄÚÀïÓк¹Ã«Á¢Ã«¼¡£¡£¡£¡£¡£¡£¡£¡£¬£¬ £¬£¬ £¬£¬£¬ £¬Õ⺹ëÁ¢Ã«¼¡ÊÇÆ¤·ô¾ßÓж¯¸ÐµÄÓÖÒ»¾öÒéÒòËØ¡£¡£¡£¡£¡£¡£¡£¡£¼¡ÈâÀ­¶¯ÊÇÒ»ÖÖÆ¤·ô¶¯Ì¬µÄת±ä£¬£¬ £¬£¬ £¬£¬£¬ £¬Á¢Ã«¼¡Ëõ¶Ì²»µ«ÄÜÉøÍ¸Æ¤Ö¬ÏÙÀïµÄ¹¤¾ß£¬£¬ £¬£¬ £¬£¬£¬ £¬»¹¿ÉÒÔµ÷ÀíÆ¤·ô¹ØÓÚÍâ½çÇéÐεĴ̼¤·´Ó¦¡£¡£¡£¡£¡£¡£¡£¡£º¹Ã«Á¢Ã«¼¡ÆðʼÓÚë¸ÉµÄÖжˣ¬£¬ £¬£¬ £¬£¬£¬ £¬ÖÕÖ¹ÓÚÕæÆ¤ÈéÍ·²ãdz²¿¡£¡£¡£¡£¡£¡£¡£¡£Æ¤Ö¬ÏÙÊDZ¬·¢Æ¤Ö¬µÄ(ͼ1)£¬£¬ £¬£¬ £¬£¬£¬ £¬Á¢Ã«¼¡Ëõ¶Ì±¬·¢¼·Ñ¹£¬£¬ £¬£¬ £¬£¬£¬ £¬Æ¤Ö¬ÏÙ¾ÍÇãÔþƤ֬¡£¡£¡£¡£¡£¡£¡£¡£ÀýÈç·Û´ÌÊÇÓÉÓÚº¹Ã«Á¢Ã«¼¡´¦ÓÚ²»ÐË·Ü״̬£¬£¬ £¬£¬ £¬£¬£¬ £¬Æ¤Ö¬±¬·¢¹ý¶àÓÖÉøÍ¸²»³©¶øÔì³É¹£Èû¡£¡£¡£¡£¡£¡£¡£¡£Æ¤·ôÀïÉÐÓÐÒ»ÖÖ¼¡Ï¸°û£¬£¬ £¬£¬ £¬£¬£¬ £¬ËüÂþÑÜÔÚº¹ÏÙÖÜΧ£¬£¬ £¬£¬ £¬£¬£¬ £¬¼¡Ï¸°ûÔÚÊܵ½Íâ½ç´Ì¼¤»òÊܵ½»úÌåÄÚÌåÒºÐźÅËõ¶ÌʱÈ˾ͻá³öº¹¡£¡£¡£¡£¡£¡£¡£¡£ÒÔÊÇʵÏÖÆ¤·ô¼¡Èâ×éÖ¯µÄԭλÔÙÉú£¬£¬ £¬£¬ £¬£¬£¬ £¬¼á³Ö¼¡ÈâÄêÇá״̬£¬£¬ £¬£¬ £¬£¬£¬ £¬²ÅÊǰü¹ÜƤ·ôÄêÇá״̬µÄ»ù´¡¡£¡£¡£¡£¡£¡£¡£¡£
     ¡¾ÔÙÉúÎïÖÊÓëÆ¤·ô×éÖ¯Æ÷¹Ù¡¿
     ÎÒÃÇ2002Äê°ÑÕûСÎÒ˽¼ÒÌåµÄ×éÖ¯£¨ÉÏÆ¤×éÖ¯¡¢½áµÞ×éÖ¯¡¢Éñ¾­×éÖ¯¡¢¼¡Èâ×éÖ¯£©ÐγɵÄ×éÖ¯Æ÷¹Ù»®·ÖΪÖÁÉÙ206À࣬£¬ £¬£¬ £¬£¬£¬ £¬Æä·ÖÀàÒÀ¾ÝÊÇϸ°ûÖֱ𣬣¬ £¬£¬ £¬£¬£¬ £¬ÌØÊâÊÇ´ÓÆ÷¹ÙÔÙÉúµÄϸ°ûѧ½Ç¶È»®·ÖµÄ¡£¡£¡£¡£¡£¡£¡£¡£È˵Ä×éÖ¯·ÖÀà¾ÍËÄ´ó×éÖ¯£¬£¬ £¬£¬ £¬£¬£¬ £¬ËÄ´ó×éÖ¯ÄÚÀïÓÖÓÐÐí¶àÖÖÀ࣬£¬ £¬£¬ £¬£¬£¬ £¬Èç¹Ç÷À¼¡¡¢Ðļ¡¡¢Æ½»¬¼¡µÈµÈ¼¡Èâ×éÖ¯£»£»£»£»£»¹Ç÷À¡¢ÈÍ´ø¶¼ÊǽáµÞ×éÖ¯£¬£¬ £¬£¬ £¬£¬£¬ £¬½áµÞ×éÖ¯Ò²·ÖÐí¶àÀàÐÍ£¬£¬ £¬£¬ £¬£¬£¬ £¬ÓÐËÉÉ¢µÄ¡¢ÓÐÖÂÃܵ쬣¬ £¬£¬ £¬£¬£¬ £¬Æ¤·ôÊÇËÉÉ¢µÄ½áµÞ×éÖ¯£¬£¬ £¬£¬ £¬£¬£¬ £¬Ò²ÕýÓÉÓÚÆ¤·ôÊÇËÉÉ¢µÄ½áµÞ×éÖ¯£¬£¬ £¬£¬ £¬£¬£¬ £¬ÒÔÊÇÎÒÃDzŻª¹»Í¨¹ýÍâÔ´ÐԵĵ¼ÈëÔÙÉúÓªÑøÎïÖʶøÊ¹Æ¤·ô¸üÓе¯ÐÔ(ͼ2)¡£¡£¡£¡£¡£¡£¡£¡£ÒªÏëʵÏÖÆ¤·ôÆ÷¹ÙÖÐµÄ±íÆ¤¡¢ÕæÆ¤¡¢ÕæÆ¤µÄ¸½¼þ¡¢¼¡È⡢Ѫ¹Ü¡­¡­µÈËùÓÐԭλ¸üУ¬£¬ £¬£¬ £¬£¬£¬ £¬¾Í±ØÐèÒªÖÜÈ«µÄÔÙÉúÆô¶¯£¬£¬ £¬£¬ £¬£¬£¬ £¬¼´µ¼ÈëµÄÎïÖʱØÐèʹËùÓÐ×éÖ¯ËùÓд¦ÓÚÔÙÉú״̬¡£¡£¡£¡£¡£¡£¡£¡£
     ¹ØÓÚÒÔÉÏÕâЩ½áÂÛÎÒÃǺÜÊÇÓÐÕÆÎÕ£¬£¬ £¬£¬ £¬£¬£¬ £¬ÓÉÓÚÎÒÃÇÓÐ20¶àÄêµÄƤ·ôÔÙÉúÁÙ´²ÂÄÀú¡£¡£¡£¡£¡£¡£¡£¡£NGÏàÐÅÆ·ÅƵÄÁ¦Á¿¹ÙÍøÊªÈóÉÕÉ˸ಢ²»ÊÇÒ»ÏÂ×Ó¾ÍÑо¿³öÀ´µÄ£¬£¬ £¬£¬ £¬£¬£¬ £¬´Ó×îÏȵĴ´ÃæÊªÈóµ½Ò»Ñùƽ³£µÄ´´ÃæÓúºÏ£¬£¬ £¬£¬ £¬£¬£¬ £¬½Ó×ŵ½Éî¶þ¶ÈïÔÌ­°ÌºÛÓúºÏ£¬£¬ £¬£¬ £¬£¬£¬ £¬ÔÙµ½Éî¶þ¶ÈÓúºÏÎް̺ۣ¬£¬ £¬£¬ £¬£¬£¬ £¬´ËºóÓÖÉú³¤µ½Èý¶ÈÉÕÉËÄÜÓúºÏÓа̺ۣ¬£¬ £¬£¬ £¬£¬£¬ £¬ÔÙµ½Èý¶ÈÉÕÉËÓúºÏÎް̺ۣ¬£¬ £¬£¬ £¬£¬£¬ £¬ÒÔºóÓÖÏ£Íûµ½²»µ«½öÊÇÆ¤·ôÉÕÉË£¬£¬ £¬£¬ £¬£¬£¬ £¬²¢ÇÒÉ˼°µ½¼¡Èâ¹Ç÷À£¬£¬ £¬£¬ £¬£¬£¬ £¬¶¼Äܹ»ÊµÏÖÆ¤·ôÔÙÉú£¬£¬ £¬£¬ £¬£¬£¬ £¬Ö»ÒªÓйÇÍ·ÔÚ£¬£¬ £¬£¬ £¬£¬£¬ £¬¾ÍÄÜʹÈí×éÖ¯ºÍƤ·ôÔÙÉú³öÀ´ £¬£¬ £¬£¬ £¬£¬£¬ £¬Õâôһ²½Ò»²½×ß¹ýÀ´µÄ¡£¡£¡£¡£¡£¡£¡£¡£ÒÔÊÇ£¬£¬ £¬£¬ £¬£¬£¬ £¬´ÓƤ·ôµÄÍâò×îÏÈ£¬£¬ £¬£¬ £¬£¬£¬ £¬Ò»²½Ò»²½µ½×îºóʵÏÖ£¬£¬ £¬£¬ £¬£¬£¬ £¬ÓÃÒ»¸öϸ°û¸´ÖÆÔÙÉú³öËùÓеÄϸ°û¡£¡£¡£¡£¡£¡£¡£¡£ÔÚÕâ¸öÀú³Ìµ±ÖÐÎÒÃÇÒѾ­°ÑÕû¸öƤ·ôÆ÷¹ÙÔÙÉú³öÀ´ÁË£¬£¬ £¬£¬ £¬£¬£¬ £¬²¢ÐγÉÁËÆ¤·ôȱËðÔõÑùÔÙÉúµÄÀíÂÛºÍÊÖÒÕ¡£¡£¡£¡£¡£¡£¡£¡£È»ºóÔÙ˼Ë÷Õý³£µÄƤ·ôÔõÑùÔÙÉú£¬£¬ £¬£¬ £¬£¬£¬ £¬Õý³£Æ¤·ôµÄëϸѪ¹ÜÓÐһЩ´øÓа뿹ԭÐÔ£¬£¬ £¬£¬ £¬£¬£¬ £¬»ò´øÓÐÌØÒìÇãÔþÐÔ×Ó£¬£¬ £¬£¬ £¬£¬£¬ £¬Ò»Ð©ÎïÖʵ½Ã«Ï¸Ñª¹Ü¾Í±»×èÖ¹ÁË£¬£¬ £¬£¬ £¬£¬£¬ £¬ÎÞ·¨½øÈ룬£¬ £¬£¬ £¬£¬£¬ £¬Ö»ÄÜͨ¹ýÁܰÍϵͳ±»×ª»Ø£¬£¬ £¬£¬ £¬£¬£¬ £¬Òò´ËûÓв½·¥Í¨¹ýëϸѪ¹ÜµÄÎüÊÕÀ´ÓªÑøÏ¸°û¡£¡£¡£¡£¡£¡£¡£¡£Æ¤·ôºÍ±ðµÄÆ÷¹Ù·×ÆçÑù£¬£¬ £¬£¬ £¬£¬£¬ £¬ÓÐЩ´øÀàËÆ¿¹Ô­ÐÔ×ÓµÄÒòËØµÖ´ï²»ÁËϸ°û£¬£¬ £¬£¬ £¬£¬£¬ £¬ÒÔÊÇҪ͎áÍâÔ´ÐÔ×¢ÈëµÄÒªÁ죬£¬ £¬£¬ £¬£¬£¬ £¬ËäÈ»ÍâÔ´ÐÔÎïÖʵ¼ÈëÁ¿²»´ó£¬£¬ £¬£¬ £¬£¬£¬ £¬¿ÉÊǶ¼Äܹ»±»µ¼ÈëÕæÆ¤²ã¡£¡£¡£¡£¡£¡£¡£¡£(ͼ3)º¹ÏÙ¡¢Æ¤Ö¬ÏÙ¡¢Ã«ÄÒ¡¢Ã«·¢µÈÏÖʵÉÏ´ÓÅß̥ʱÆÚ¾ÍÊÇÓÉÒ»¸ö¸Éϸ°û·¢ÓýÀ´µÄ¡£¡£¡£¡£¡£¡£¡£¡£±íƤµÄ»ùÄÚÇé°ûÅŵúÜÕûÆë£¬£¬ £¬£¬ £¬£¬£¬ £¬¿´ÉÏÈ¥¶¼ÊÇÒ»¸ö¸öµÄ£¬£¬ £¬£¬ £¬£¬£¬ £¬ÏÖʵÉÏËüÃÇÊÇÒ»Á¬µÄ£¬£¬ £¬£¬ £¬£¬£¬ £¬Æ¤·ô±íƤµÄÉϰ벿·Ö¶¼ÊÇ¿¿»ùÄÚÇé°û·Ö½â¶øÀ´µÄ¡£¡£¡£¡£¡£¡£¡£¡£»£»£»£»£»ùÄÚÇé°ûÉÏÃæ¸÷²ã¿ÉÒÔ¶¼Ã»ÓУ¬£¬ £¬£¬ £¬£¬£¬ £¬µ«Õâ²ã»ùÄÚÇé°û±ØÐè±£´æ£¬£¬ £¬£¬ £¬£¬£¬ £¬Ö»ÒªÓÐÕâ²ãϸ°û£¬£¬ £¬£¬ £¬£¬£¬ £¬Æ¤·ôµÄÍâò¾Í»á»Ö¸´µÃÍêºÃÎÞË𡣡£¡£¡£¡£¡£¡£¡£Ò½Ñ§Éϳ£ËµµÄƤ·ôµÄÐÄÀíÐÔÔÙÉú¾ÍÊÇÖ¸±íƤ»ùÄÚÇé°û²ãÔÙÉúµÄ¿´·¨£¬£¬ £¬£¬ £¬£¬£¬ £¬Ö»ÒªÕâ²ãϸ°ûÔÚ£¬£¬ £¬£¬ £¬£¬£¬ £¬¾ÍÄÜ°Ñ±íÆ¤ÍâÃæ¸÷²ã¶¼ÔÙÉú³öÀ´¡£¡£¡£¡£¡£¡£¡£¡£±íƤµÄ×é³ÉÌõÀíÓÉÉî²ãµ½±í²ãÖ÷ÒªÊÇ»ùµ×²ã¡¢¼¬²ã¡¢¿ÅÁ£²ã£¬£¬ £¬£¬ £¬£¬£¬ £¬×îÉÏÃæÊǽÇÖʲã¡£¡£¡£¡£¡£¡£¡£¡£


     ¡¾Æ¤·ôԭλÔÙÉú»Ø¸´ÊÖÒյĻúÀí½¹µã¡¿
Ò»Ñùƽ³£µÄƤ·ôÃÀÈÝΪÁËÈÃÆ¤·ôÍâòÏÔµÃϸÄÛ£¬£¬ £¬£¬ £¬£¬£¬ £¬¾ÍÏ뾡²½·¥´ÓƤ·ôÍâòȥËÀƤ£¬£¬ £¬£¬ £¬£¬£¬ £¬ËÀƤȥµÃÔ½¶à£¬£¬ £¬£¬ £¬£¬£¬ £¬Æ¤·ô¾ÍÔ½±¡£¡£¡£¡£¡£¡£¡£¡£¬£¬ £¬£¬ £¬£¬£¬ £¬ÍâòҲ¾Í»áԽƽ»¬¡¢ºìÈóºÍͨ͸£¬£¬ £¬£¬ £¬£¬£¬ £¬µ«ÏÖʵÉÏÕâÊÇÒ»ÖÖÆ¤·ôÊÜËðµÄÌåÏÖ£¬£¬ £¬£¬ £¬£¬£¬ £¬²¢Ã»ÓÐÕæÕýÆðµ½±£»£»£»£»£»¤Æ¤·ôµÄ×÷Óᣡ£¡£¡£¡£¡£¡£¡£ÓÉÓÚ£¬£¬ £¬£¬ £¬£¬£¬ £¬Æ¤·ôÒ»µ©ËðÉ˵½¼¬²ã»ò»ùÄÚÇé°û£¬£¬ £¬£¬ £¬£¬£¬ £¬¾Í»á·ºÆð³£¼ûµÄÃÀÈÝÎÊÌ⣬£¬ £¬£¬ £¬£¬£¬ £¬È绯ױƷ°ß¡¢É«ËØÀä¾²¡¢¼¤¹â°ÌºÛµÈµÈ¡£¡£¡£¡£¡£¡£¡£¡£
     ¶øÆ¤·ôÆ÷¹ÙԭλÔÙÉú»Ø¸´ÒªÇóʵÏÖ±íÆ¤´úлÐËÍú¡¢ÕæÆ¤½ôÖ±¥Âú£¬£¬ £¬£¬ £¬£¬£¬ £¬ÓÉÓÚÕæÆ¤ÏÂÃæº¬Óдó×ڵijÉÏËάϸ°û£¬£¬ £¬£¬ £¬£¬£¬ £¬¶ø³ÉÏËάϸ°û¿ÉÒÔ±¬·¢½ºÔ­ÏËάÂѰ×Ë¿¡£¡£¡£¡£¡£¡£¡£¡£½ºÔ­ÏËάÂѰ×Ë¿ÓÐÈýÖÖ£¬£¬ £¬£¬ £¬£¬£¬ £¬ÕæÆ¤µÄÉϲ¿Ö÷ÒªÊǽºÔ­ÏËά£¬£¬ £¬£¬ £¬£¬£¬ £¬Ëü½ÏÁ¿Ó²£¬£¬ £¬£¬ £¬£¬£¬ £¬Íø×´ÏËά´©²åÔÚÕæÆ¤Ï²¿£»£»£»£»£»µ¯Á¦ÏËά´©²åÔÚÖÖÖÖÏËά֮¼ä¡£¡£¡£¡£¡£¡£¡£¡£ÕâÄÚÀïµÄÈýÖÖÏËά£¬£¬ £¬£¬ £¬£¬£¬ £¬Ò»¸öÊǺá×ŵ쬣¬ £¬£¬ £¬£¬£¬ £¬Ò»¸öÊÇÍø×´µÄ£¬£¬ £¬£¬ £¬£¬£¬ £¬Ò»¸öÔÚÄÚÀï¼ÐÔÓ×ÅÓе¯Á¦µÄ¡£¡£¡£¡£¡£¡£¡£¡£ÕâÈýÖÖÏËά¶¼Éæ¼°³ÉÏËάϸ°û£¬£¬ £¬£¬ £¬£¬£¬ £¬ÊǺÜÊÇÖ÷ÒªµÄ¡£¡£¡£¡£¡£¡£¡£¡£ÒªÏë½â¾öÕâÈýÖÖÏËάµÄÎÊÌ⣬£¬ £¬£¬ £¬£¬£¬ £¬±ØÐè°Ñ±¬·¢ÕâÈýÖÖÏËάµÄϸ°ûÑøºÃ£¬£¬ £¬£¬ £¬£¬£¬ £¬ÏËά²Å»ªÑøºÃ¡£¡£¡£¡£¡£¡£¡£¡£³ÉÏËάϸ°ûµÃ²»µ½ÓªÑø¾Í²»¿ÉÄܱ¬·¢¿µ½¡µÄÈýÖÖÏËά¡£¡£¡£¡£¡£¡£¡£¡£
     ÏÖÔÚµÄÉúÑÄÃÀÈÝ»ù±¾ÉÏÓëÓªÑøÕâЩÏËάûÓÐÈκιØÏµ£¬£¬ £¬£¬ £¬£¬£¬ £¬Ö÷ÒªÊÇÓÉÓÚËüûÓв½·¥½â¾öÉî²ãÓªÑøÎÊÌ⣬£¬ £¬£¬ £¬£¬£¬ £¬½ö½öʹƤ·ôÍâò±äµÃƽ»¬°ÕÁË¡£¡£¡£¡£¡£¡£¡£¡£ÎÒÃÇµÄÆ¤·ôÆ÷¹ÙÔÙÉú£¬£¬ £¬£¬ £¬£¬£¬ £¬¾ÍÄÜʵÏÖ³ÉÏËάϸ°ûÔÙÉú£¬£¬ £¬£¬ £¬£¬£¬ £¬³ÉÏËάϸ°û²»ÊÇÏËάϸ°û£¬£¬ £¬£¬ £¬£¬£¬ £¬³ÉÏËάϸ°û¿ÉÒÔ±¬·¢ÐÄÀíÐÔÏËάÂѰ×Ë¿£¬£¬ £¬£¬ £¬£¬£¬ £¬¶øÏËάϸ°ûÊÇÒ»ÖÖÀÏ»¯µÄ±äÒìµÄϸ°û¡£¡£¡£¡£¡£¡£¡£¡£ÈËµÄÆ¤·ôËæ×ÅÄêËêµÄÔöÌí¶øÀÏ»¯£¬£¬ £¬£¬ £¬£¬£¬ £¬¶ø³ÉÏËάϸ°û¹¦Ð§Ô½À´Ô½µÍÏ£¬£¬ £¬£¬ £¬£¬£¬ £¬×îºó¡°³ÉÏËάϸ°û¡±Äð³É¡°ÏËάϸ°û¡±£¬£¬ £¬£¬ £¬£¬£¬ £¬¾Í²»¿ÉÔÙ±¬·¢½ºÔ­ÂѰ×Ë¿ÁË£¬£¬ £¬£¬ £¬£¬£¬ £¬Ã»ÓнºÔ­ÂѰ×Ë¿µÄƤ·ô¾Í»áËúÏÝ¡£¡£¡£¡£¡£¡£¡£¡£ÎÒÃÇµÄÆ¤·ôÔÙÉú¾ÍÊÇÒª¼á³Ö³ÉÏËάϸ°ûµÄ¹¦Ð§£¬£¬ £¬£¬ £¬£¬£¬ £¬³ÉÏËάϸ°û¹¦Ð§Õý³££¬£¬ £¬£¬ £¬£¬£¬ £¬¾ÍÄÜÒ»Á¬×Ô¶¯±¬·¢ÁîÆ¤·ô³äÔ£µÄÏËάÂѰ×Êø¡£¡£¡£¡£¡£¡£¡£¡£ÎÒÃÇÔÚÆ¤·ôÆ÷¹ÙµÄÔÙÉú»Ø¸´ÉÏ£¬£¬ £¬£¬ £¬£¬£¬ £¬ÊÇÓÃÑõÆøµ¼ÈëµÄ²½·¥£¬£¬ £¬£¬ £¬£¬£¬ £¬½«º¬ÓÐÖÖÖÖÔÙÉúÓªÑøÒòËØµÄÔÙÉúÎïÖʵ¼ÈëÆ¤·ôÕæÆ¤ÄÚ¡£¡£¡£¡£¡£¡£¡£¡£ÕâЩÎïÖÊÔÚÕæÆ¤µÄÖÖÖÖ×éÖ¯ÄÚÀïÖ±½Óʩչ×÷Ó㬣¬ £¬£¬ £¬£¬£¬ £¬Ê¹½ºÔ­ÏËάÂѰ×Ë¿´Ó·ÇÊø×´¡¢É¢×´Äð³ÉÊø×´£¬£¬ £¬£¬ £¬£¬£¬ £¬°ÑÏËάÂѰ×Ö®¼äÌî³äµÃ½ÏÁ¿³äÔ£¡£¡£¡£¡£¡£¡£¡£¡£µ¼ÈëµÄÎïÖÊ´úлÖÜÆÚÊÇÒ»ÖÜÃÜÁ½ÖÜʱ¼ä£¬£¬ £¬£¬ £¬£¬£¬ £¬¹ýÁËÕâ¸öʱ¼ä¾Í×Ô¶¯´úлµôÁË¡£¡£¡£¡£¡£¡£¡£¡£±íƤϸ°ûµÄÔÙÉú¸üÐÂÒ²ºÜÖ÷Òª£¬£¬ £¬£¬ £¬£¬£¬ £¬µ«²»Èç³ÉÏËάϸ°ûÔÙÉú¸üÐÂÖ÷Òª£¬£¬ £¬£¬ £¬£¬£¬ £¬ÓÉÓÚ±íÆ¤»ùÄÚÇé°û×Ô¼º¾ÍÊǸÉϸ°û£¬£¬ £¬£¬ £¬£¬£¬ £¬×ÔÉí¾ÍÓÐÔÙÉú¹¦Ð§£¬£¬ £¬£¬ £¬£¬£¬ £¬Óò»±ØÔÙÉúÎïÖʶ¼¿ÉÔÙÉú£¬£¬ £¬£¬ £¬£¬£¬ £¬Ö»ÊÇÎÒÃÇÓÃÔÙÉúÎïÖÊÄÜÔöÇ¿²¢°ü¹ÜËüµÄ¸Éϸ°û¹¦Ð§£¬£¬ £¬£¬ £¬£¬£¬ £¬ÊµÏÖ±íÆ¤µÄÄêÇᣬ£¬ £¬£¬ £¬£¬£¬ £¬µ«ÎÒÃDz¢Ã»ÓдÓϸ°ûÔÙÉúÊôÐÔÉϸıäËü¡£¡£¡£¡£¡£¡£¡£¡£ËäÈ»Õâ¸ö±íƤ¸Éϸ°ûÊǽÏÁ¿³õ¼¶µÄÒ»ÖÖ½üÖն˸Éϸ°û£¬£¬ £¬£¬ £¬£¬£¬ £¬µ«Ò²°ü¹ÜÁËÕû¸ö»ùÄÚÇé°û²ã½ÏÇ¿µÄ×ÔÎÒÐÞ¸´ÄÜÁ¦¡£¡£¡£¡£¡£¡£¡£¡£¾Ù¸öÀý×ÓÀ´Ëµ£¬£¬ £¬£¬ £¬£¬£¬ £¬¶ùͯµÄϸ°û¶¼ÊÇK15(½ÇÂѰ×15£¬£¬ £¬£¬ £¬£¬£¬ £¬Êý×ÖÔ½´óԽԭʼ)£¬£¬ £¬£¬ £¬£¬£¬ £¬Õâ¸öϸ°ûÉú·¢ÄÜÁ¦ºÜÇ¿£»£»£»£»£»Ò»¸ö90ËêµÄÀÏÈËÖ»ÓÐ5%µÄϸ°û¾ßÓлîÐÔ£¬£¬ £¬£¬ £¬£¬£¬ £¬95%¶¼Ã»ÓÐÉú·¢ÄÜÁ¦¡£¡£¡£¡£¡£¡£¡£¡£Õâ¾ÍÚ¹ÊÍÁËΪʲôÍíÄêÈËµÄÆ¤·ôËÉиÏ´¹£¬£¬ £¬£¬ £¬£¬£¬ £¬À­ÉìºóÎÞ·¨»Ö»Ø¸´×´£¬£¬ £¬£¬ £¬£¬£¬ £¬¾ÍÊÇÓÉÓÚ±íÆ¤µÄ»ùÄÚÇé°û´úлÂÊ»ù±¾Ã»ÓÐÁË£¬£¬ £¬£¬ £¬£¬£¬ £¬ÕæÆ¤ÖнºÔ­ÂѰ×Ë¿º¬Á¿ºÜÉÙ¡£¡£¡£¡£¡£¡£¡£¡£Í¬ÑùÔµ¹ÊÔ­ÓÉ£¬£¬ £¬£¬ £¬£¬£¬ £¬ÍíÄêÈËµÄ±íÆ¤Ï¸Äå¶ÈҲûÓÐÄêÇáÈ˺ᣡ£¡£¡£¡£¡£¡£¡£Ò»Ñùƽ³£À´Ëµ£¬£¬ £¬£¬ £¬£¬£¬ £¬È˹ýÁË40ËêÆ¤·ô¾ÍÓÐÒ»°ëµÄϸ°û²»ÊÂÇéÁË¡£¡£¡£¡£¡£¡£¡£¡£±íƤ±£´æÐí¶àϸ°û£¬£¬ £¬£¬ £¬£¬£¬ £¬Òò´ËÎÒÃǵ¼ÈëÔÙÉúÎïÖʺ󣬣¬ £¬£¬ £¬£¬£¬ £¬²»µ«ÊÇÕë¶Ô³ÉÏËάϸ°ûÆð×÷Ó㬣¬ £¬£¬ £¬£¬£¬ £¬¶ÔÆäËûϸ°ûÒ²ÓÐ×÷Ó㬣¬ £¬£¬ £¬£¬£¬ £¬´Ó±íƤһֱµ½Ã«ÄÒ¡¢º¹ÏÙ¡¢Æ¤Ö¬ÏÙ¶¼ÊÇÁ¢ÌåµÄÓªÑø¡£¡£¡£¡£¡£¡£¡£¡£Òª×¢ÖØ´¿´âÊÇÆ¤·ôÍâòÓÃÓªÑø£¬£¬ £¬£¬ £¬£¬£¬ £¬Æð²»µ½Æ¤·ôÆ÷¹ÙÕûÌåÔÙÉú»Ø¸´µÄЧ¹û£¬£¬ £¬£¬ £¬£¬£¬ £¬ÓÉÓÚûÓÐÓªÑøµ½ÕæÆ¤£¬£¬ £¬£¬ £¬£¬£¬ £¬µ½²»ÁËÕæÆ¤¾Íû²½·¥ÓªÑøÃ«¸É¡¢º¹ÏÙ¡¢Æ¤Ö¬Ïٵȡ£¡£¡£¡£¡£¡£¡£¡£ÒªÖªµÀËüÃÇÊÇÒ»¸öϵͳ£¬£¬ £¬£¬ £¬£¬£¬ £¬Ò²¾ÍÊÇ˵ËüÃǵĹ¦Ð§ÊÇÒ»ÆðºËËãµÄ¡£¡£¡£¡£¡£¡£¡£¡£Ã¿Ò»¸ö±íƤ»ùÄÚÇé°ûÊͷŵÄÈκÎÒò×Ó£¬£¬ £¬£¬ £¬£¬£¬ £¬ÊÇÅäºÏÁªÏµÏ໥×÷ÓõÄ¡£¡£¡£¡£¡£¡£¡£¡£ÒÔÊÇ˵ÎÒÃDz»µ«½öÒª´ÓÍâÃæ¸øÓèÆ¤·ô±£»£»£»£»£»¤£¬£¬ £¬£¬ £¬£¬£¬ £¬¸üÖ÷ÒªµÄÊÇÒªÁ¢Ìåʽ±£»£»£»£»£»¤£¬£¬ £¬£¬ £¬£¬£¬ £¬Ò²Òª´ÓÏû»¯µÀÄÚÔ´¹©Ó¦±íÆ¤ÓªÑø¡£¡£¡£¡£¡£¡£¡£¡£´Ó±íƤ»ùµ×²ãµ½½Ç»¯²ã£¬£¬ £¬£¬ £¬£¬£¬ £¬¹²Ô¼30²ãϸ°û¡£¡£¡£¡£¡£¡£¡£¡£Ò²¾ÍÊÇ˵ϸ°û´Ó»ùµ×²ã×îÏÈÒ»²ã²ãÏòÉÏÍÆ½øÔÙÉú£¬£¬ £¬£¬ £¬£¬£¬ £¬Ò»²ãϸ°ûµÄ¹¦Ð§µÍÓÚÒ»²ã£¬£¬ £¬£¬ £¬£¬£¬ £¬×îºóÐγɽÇÖÊϸ°û£¬£¬ £¬£¬ £¬£¬£¬ £¬½ÇÖÊϸ°ûÊÇÍêȫûÓй¦Ð§µÄ¡£¡£¡£¡£¡£¡£¡£¡£Õâ30²ã·ÖËÄ´óÀࣺ»ùÄÚÇé°û²ã¡¢¼¬²ã¡¢¿ÅÁ£²ã¡¢½Ç»¯²ã¡£¡£¡£¡£¡£¡£¡£¡£»£»£»£»£»ùÄÚÇé°ûÊÇÔ­·¢²ã£¬£¬ £¬£¬ £¬£¬£¬ £¬¼¬²ãÊÇÉú·¢²ã£¬£¬ £¬£¬ £¬£¬£¬ £¬¿ÅÁ£²ãϸ°û´úлÏà¶Ô»ºÂý£¬£¬ £¬£¬ £¬£¬£¬ £¬¿ÉÊÇϸ°ûÒѾ­ÍË»¯²¢Ðγɺ¬ÓÐÐí¶à¿ÅÁ£ÎïÖʵÄϸ°û£¬£¬ £¬£¬ £¬£¬£¬ £¬ÕâÊÇÈËÀà½ø»¯µÃÀ´µÄ¡£¡£¡£¡£¡£¡£¡£¡£¿£¿£¿ £¿£¿ÅÁ£²ã´¦ÓÚ¹¦Ð§²ã£¬£¬ £¬£¬ £¬£¬£¬ £¬¿ÅÁ£²ãÓë½Ç»¯²ãÖ®¼äµÄ¹ØÏµÊÇ£º¿ÅÁ£²ãÒÔÏÂÊǹ¦Ð§²ã£¬£¬ £¬£¬ £¬£¬£¬ £¬½Ç»¯²ã²»Êǹ¦Ð§²ã£¬£¬ £¬£¬ £¬£¬£¬ £¬ÊÇÆÁÕϲã¡£¡£¡£¡£¡£¡£¡£¡£¿£¿£¿ £¿£¿ÅÁ£²ãµÄÖ÷ҪʹÃüÊÇ·À»¯Ñ§ÇÖÊ´¡£¡£¡£¡£¡£¡£¡£¡£ÈçһЩÍâ½çµÄËá¼îÎïÖʶԻúÌåÓÐÓ°ÏìµÄ»°£¬£¬ £¬£¬ £¬£¬£¬ £¬Ò»µ½¿ÅÁ£²ã¾Í±»×èÖ¹ÁË¡£¡£¡£¡£¡£¡£¡£¡£¼¬²ã³ýÓÐÉú±¬·¢ÓÃÍ⻹¾ßÓзÀË®×÷Ó㬣¬ £¬£¬ £¬£¬£¬ £¬ËüÊÇÕæÕýµÄ·ÀË®²ã¡£¡£¡£¡£¡£¡£¡£¡£±íƤҪÉú³¤£¬£¬ £¬£¬ £¬£¬£¬ £¬Ë­¹©Ó¦ÓªÑø£¿£¿£¿ £¿£¿ËüµÄÓªÑøÈªÔ´ÓÐÁ½¸öÇþµÀ£ºÒ»¸öÇþµÀ´ÓѪ¹ÜÀ´£¬£¬ £¬£¬ £¬£¬£¬ £¬ÑªÒºÖеÄÓªÑøÍ¨¹ý¼¬²ãÉøÈ룬£¬ £¬£¬ £¬£¬£¬ £¬Éøµ½¿ÅÁ£²ã£¬£¬ £¬£¬ £¬£¬£¬ £¬ÈËµÄÆ¤·ôÃÀ²»ÃÀ£¬£¬ £¬£¬ £¬£¬£¬ £¬Ö»ÒªÆ¤·ôÏÂÓÐÕý³£µÄѪҺѭ»·Æ¤·ô¾ÍÊÇÆ¯ÁÁµÄ¡£¡£¡£¡£¡£¡£¡£¡£µ«¿ÅÁ£²ãÒÔÍâµÄϸ°ûѪҺ¹©Ó¦²»ÁË£¬£¬ £¬£¬ £¬£¬£¬ £¬ÓÉÈËÌåµÄÁíÒ»¸ö¹©Ó¦ÇþµÀ¹©Ó¦¡£¡£¡£¡£¡£¡£¡£¡£¸÷ÈËÒ²Ðí²»ÖªµÀ£¬£¬ £¬£¬ £¬£¬£¬ £¬º¹ÏÙ³ýÁËÉøÍ¸º¹Òºµ÷ÀíÌåÎÂÒÔÍâÉÐÓÐÒ»¸ö´ó¹¦Ð§£¬£¬ £¬£¬ £¬£¬£¬ £¬¾ÍÊÇ×÷ΪƤ·ô±íƤÍâ15²ãºÜÖ÷ÒªµÄÓªÑø¹©Ó¦Æ÷¹Ù£¨Ë®Ïࣩ£¬£¬ £¬£¬ £¬£¬£¬ £¬ÁíÍâÒ»¸öÓªÑøÎïÖÊÊÇÆ¤Ö¬£¨ÓÍÏࣩ£¬£¬ £¬£¬ £¬£¬£¬ £¬ÊÇÓÉÆ¤Ö¬ÏÙ±¬·¢³öÀ´µÄ£¬£¬ £¬£¬ £¬£¬£¬ £¬ÊÇ¿ÉÏûÈÚµÄÖ¬·¾Ëᣬ£¬ £¬£¬ £¬£¬£¬ £¬ÕâÁ½ÕßË®ÏàºÍÓÍÏà×Ô¶¯È黯£¬£¬ £¬£¬ £¬£¬£¬ £¬ÁýÕÖÔÚ½ÇÖʲãÍâò£¬£¬ £¬£¬ £¬£¬£¬ £¬ÓªÑø×ÅÆ¤·ô±íƤÉϰ벿·Öϸ°û¡£¡£¡£¡£¡£¡£¡£¡£ÒÔÊÇÆ¤·ôÉøÍ¸µÄº¹ÒººÍƤ֬ÉÙÁ˲»¿É£¬£¬ £¬£¬ £¬£¬£¬ £¬¶àÁËÒ²²»¿É¡£¡£¡£¡£¡£¡£¡£¡£ÕâÒ²ÊÇÎÒÃÇÆ½Ê±Ëù˵µÄ¸ÉÐÔÆ¤·ôºÍÓÍÐÔÆ¤·ôµÄ·ÖÀàÒÀ¾Ý£¬£¬ £¬£¬ £¬£¬£¬ £¬ÏÖʵÉÏ£¬£¬ £¬£¬ £¬£¬£¬ £¬²»¹ÜÄÄÏî¶àÁËÉÙÁ˶¼Ç·ºÃ¡£¡£¡£¡£¡£¡£¡£¡£Æ¤·ôµÄ¿ÅÁ£²ãºÍ¼¬²ãÔÚÄÚÍâÓªÑøµÄ×÷ÓÃÏ£¬£¬ £¬£¬ £¬£¬£¬ £¬»¹Äܱ¬·¢Ò»ÏµÁÐ×Ô¼ºËùÐèÒªµÄÎïÖÊ¡£¡£¡£¡£¡£¡£¡£¡£ÒÔÊÇÓÐÁËËü£¬£¬ £¬£¬ £¬£¬£¬ £¬ÍâòµÄ½ÇÖʲã²Å»ª¿´ÆðÀ´Ï¸ÄåË®È󡣡£¡£¡£¡£¡£¡£¡£

      ¡¾ÉøÍ¸Ñ¹ÓëÆ¤·ôÉúÃüµÄÏÈÌì¹ØÏµ¡¿
      Éç»áÉϵÄÐí¶àÃÀÈÝ»¯×±Æ·ËäȻҲ˼Á¿µ½ÁËÓÍÏàºÍË®Ï࣬£¬ £¬£¬ £¬£¬£¬ £¬´ò×ű£»£»£»£»£»¤Æ¤·ôµÄÆìÖÄ£¬£¬ £¬£¬ £¬£¬£¬ £¬µ«×ÐϸÆÊÎö¾Í»á·¢Ã÷ÎÊÌâ¡£¡£¡£¡£¡£¡£¡£¡£ÄÇЩ»¯×±Æ·ÓõÄË®ÊÇÊ²Ã´Ë®ÄØ£¿£¿£¿ £¿£¿ÊÇÈ¥Àë×ÓË®¡£¡£¡£¡£¡£¡£¡£¡£ÎªÊ²Ã´Ñ¡ÕâÖÖË®£¿£¿£¿ £¿£¿ÓÉÓÚÕâÖÖË®ÊǵÍÉøµÄ(ͼ5)¡£¡£¡£¡£¡£¡£¡£¡£Æ¤·ô¸ÉÔ£¬ £¬£¬ £¬£¬£¬ £¬ËûÃǾÍÏëʹÓõÍÉøµÄ×÷ÓÃÈÃË®ÉøÈëÖÁƤ·ôÄÚ¡£¡£¡£¡£¡£¡£¡£¡£ÓÉÓÚËüµÍÉø£¬£¬ £¬£¬ £¬£¬£¬ £¬Ë®·Ö×ӾͻáÉøÈëÆ¤ÄÚ£¬£¬ £¬£¬ £¬£¬£¬ £¬²¢ÇÒËÙÂʺܿì¡£¡£¡£¡£¡£¡£¡£¡£¶øÓÍÄØ£¬£¬ £¬£¬ £¬£¬£¬ £¬ÔçÏȶ¼ÓÿóÎïÓÍ£¬£¬ £¬£¬ £¬£¬£¬ £¬ÏÖÔÚÓеÄÒ²ÓÃÖ²ÎïÓÍ£¬£¬ £¬£¬ £¬£¬£¬ £¬µ«²»¹ÜÊÇ¿óÎïÓÍÕÕ¾ÉÖ²ÎïÓÍ£¬£¬ £¬£¬ £¬£¬£¬ £¬¶¼Ã»ÓÐʵÏÖÆäÏò¿ÉÈÜÐÔÖ¬·¾ËáÀàÎïÖʵÄת±ä¡£¡£¡£¡£¡£¡£¡£¡£¶øÎÒÃǵÄÔÙÉúÎïÖÊÓõͼÊÇ¿ÉÏûÈÚµÄÓÍ¡£¡£¡£¡£¡£¡£¡£¡£Ä³Ð©»¯×±Æ·ÀïµÄÖ¬·¾ËáÊDz»¿ÉÈÜÐԵ쬣¬ £¬£¬ £¬£¬£¬ £¬Í¿ÔÚÆ¤·ôÉÏÖ»ÄÜÁýÕÖ£¬£¬ £¬£¬ £¬£¬£¬ £¬Ã»ÓÐÓªÑøÆ¤·ô±íƤϸ°û15²ãµÄ×÷Ó㬣¬ £¬£¬ £¬£¬£¬ £¬Ö»Êǰ²ÅÅ£¬£¬ £¬£¬ £¬£¬£¬ £¬·´µ¹ÊÇͿĨ¶àÁËÖ®ºó¹£ÈûƤ֬ÏÙÉøÍ¸¿×£¬£¬ £¬£¬ £¬£¬£¬ £¬¾Í»áÔì³É·Û´Ì¡£¡£¡£¡£¡£¡£¡£¡£Ë®ÊÇʹÓõÍÉø×÷Ó㬣¬ £¬£¬ £¬£¬£¬ £¬À´½â¾öÈÃË®Éø½øÈ¥£¬£¬ £¬£¬ £¬£¬£¬ £¬Ïë·¨ºÜºÃ£¬£¬ £¬£¬ £¬£¬£¬ £¬µ«µÍÉø×÷Óþ¿¾¹¶ÔƤ·ôÓÐûÓÐÀû񾀯£¿£¿£¿ £¿£¿Ò½Ñ§ÉÏÔçÒÑÓж¨ÂÛ£¬£¬ £¬£¬ £¬£¬£¬ £¬ËùÓеĻ¯×±Æ·¡¢»¤·ôÆ·¶¼Î£ÏÕÆ¤·ô¡£¡£¡£¡£¡£¡£¡£¡£¿£¿£¿ £¿£¿ÉΣÏÕÆ¤·ôΪʲô»¹ÓÃÄØ£¿£¿£¿ £¿£¿¾ÍÊÇÓÉÓÚ´ó×ÔÈ»µÄÆÆ»ËäÈ»¯×±Æ·»¹À÷º¦£¬£¬ £¬£¬ £¬£¬£¬ £¬ÊÇÓÃËðÉËСµÄÈ¡´úËðÉË´óµÄ¡£¡£¡£¡£¡£¡£¡£¡£»£»£»£»£»¯×±Æ·µÄËðÉËÔÚҽѧÉÏһֱûÃ÷È·ËüµÄ»úÀí£¬£¬ £¬£¬ £¬£¬£¬ £¬ÎÒÃÇÃ÷È·ÁË£¬£¬ £¬£¬ £¬£¬£¬ £¬Ã÷È·ÆðÀ´ºÜÊÇÈÝÒס£¡£¡£¡£¡£¡£¡£¡£

      Ê×ÏÈÆÊÎö£¬£¬ £¬£¬ £¬£¬£¬ £¬º¹Òº²»ÊÇ´¿´âµÄË®£¬£¬ £¬£¬ £¬£¬£¬ £¬ÎÒÃǽâ¾öÕâ¸öÄÑÌâ²»ÊÇÆ¾Ö¤±ðÈ˵ÄÏë·¨£¬£¬ £¬£¬ £¬£¬£¬ £¬Ò²²»ÊDZðÈ˵ÄÀíÂÛ£¬£¬ £¬£¬ £¬£¬£¬ £¬ÊÇÆ¾Ö¤ÈËÌ寤·ô×ÔÎÒ±£»£»£»£»£»¤µÄÐÄÀí»úÖÆ¡£¡£¡£¡£¡£¡£¡£¡£ÎÒÃÇÆÊÎöº¹Òºº¬ÓжàÖÖÒòËØ£¬£¬ £¬£¬ £¬£¬£¬ £¬º¹ÒºµÄÉøÍ¸Ñ¹ÊǵÈÉøµÄ£¬£¬ £¬£¬ £¬£¬£¬ £¬ºÍ×éÖ¯Òº¡¢Ï¸°ûÄÚÒºµÄÉøÍ¸Ñ¹Á¦ÊÇÏàµÈµÄ¡£¡£¡£¡£¡£¡£¡£¡£ÒÔÊǺ¹ÒºÁýÕÖÔÚÆ¤·ôÍâòÈ黯ÒԺ󣬣¬ £¬£¬ £¬£¬£¬ £¬ÍêÈ«Æðµ½Ò»¸öÓë×éÖ¯ºÍϸ°ûÏàµÈµÄ×ÔÎÒ½»Á÷µÄ¹ØÏµ£¬£¬ £¬£¬ £¬£¬£¬ £¬º¹ÒºÊǶàÖÖÒòËØµÄÈÜÒº¡£¡£¡£¡£¡£¡£¡£¡£ÒÔÊÇÈ˳öÁ˺¹£¬£¬ £¬£¬ £¬£¬£¬ £¬Ë®Õô·¢ÁËʣϵÄÑΣ¬£¬ £¬£¬ £¬£¬£¬ £¬È«ÊÇÀë×Ó£¬£¬ £¬£¬ £¬£¬£¬ £¬¾ÍÊÇÕâ¸öÑÎÔÚÒºÌåÄÚÀï¾ÍÐγÉÁËÉøÍ¸Ñ¹¡£¡£¡£¡£¡£¡£¡£¡£ÈôÊÇÊǵÍÉøµÄË®£¬£¬ £¬£¬ £¬£¬£¬ £¬ÔòÕâµÍÉøµÄÒºÌåʹÓÃÉøÍ¸Ñ¹µÄ¹ØÏµºÜ¿ì½øÈëµ½×éÖ¯¼äÒº£¬£¬ £¬£¬ £¬£¬£¬ £¬ËäȻʹÓõÍÉøÄܺܿ콫ˮËͽøÈ¥£¬£¬ £¬£¬ £¬£¬£¬ £¬µ«×éÖ¯¼äÊÇÓÉϸ°ûÐγɵļä϶£¬£¬ £¬£¬ £¬£¬£¬ £¬Ï¸°û¼ä϶ÄÚÀïÒ²¾Í³ÉÁ˵ÍÉø¡£¡£¡£¡£¡£¡£¡£¡£ÕâµÍÉøµÄ×éÖ¯¼äÒºÓÖ½øÈëÁËϸ°ûÄÚ£¬£¬ £¬£¬ £¬£¬£¬ £¬×îÖÕ°Ñϸ°ûÕʹ󣬣¬ £¬£¬ £¬£¬£¬ £¬¹ý¶àÖ®ºó¾Í»áµ¼ÖÂϸ°ûÆÆËé(ͼ6)¡£¡£¡£¡£¡£¡£¡£¡£ÎÒÃÇÔø×ö¹ýʵÑ飬£¬ £¬£¬ £¬£¬£¬ £¬ÓÃÒ»¸öÀëÐÄ»ú£¬£¬ £¬£¬ £¬£¬£¬ £¬Ò»¸öºìϸ°û´àÐÔÊÔÑéµÄÊԹܣ¬£¬ £¬£¬ £¬£¬£¬ £¬×öÎÒÃÇҽѧÉϳ£×öµÄϸ°û´àÐÔʵÑé¡£¡£¡£¡£¡£¡£¡£¡£°Ñ»¯×±Æ··ÅÈëÀëÐÄ»úÀïÀëÐÄ£¬£¬ £¬£¬ £¬£¬£¬ £¬ÈÃË®ÏàÓÍÏàÊèÉ¢¿ª£¬£¬ £¬£¬ £¬£¬£¬ £¬ÔÙ°ÑË®ÏàÎü³öÀ´£¬£¬ £¬£¬ £¬£¬£¬ £¬°Ñºìϸ°û·ÅÈëË®ÏàÖУ¬£¬ £¬£¬ £¬£¬£¬ £¬ÈôÊǺìϸ°ûÆÆÁË£¬£¬ £¬£¬ £¬£¬£¬ £¬Õâ¸ö»¯×±Æ·¾ÍûÓб£»£»£»£»£»¤Ï¸°ûµÄ×÷Ó㬣¬ £¬£¬ £¬£¬£¬ £¬ÈôÊǺìϸ°ûûÓÐÆÆ¾ÍÓб£»£»£»£»£»¤Ï¸°ûµÄ×÷Óᣡ£¡£¡£¡£¡£¡£¡£Æ¾Ö¤Õâ¸ö½áÂÛ£¬£¬ £¬£¬ £¬£¬£¬ £¬Ðí¶à»¯×±Æ·²»¿ÉÂôÁË£¬£¬ £¬£¬ £¬£¬£¬ £¬ÓÉÓÚËü»á°Ñºìϸ°ûÕÍÆÆ¡£¡£¡£¡£¡£¡£¡£¡£ÕâÖÖ²½·¥Ê¹È¥Àë×ÓË®ÉøÈëÆ¤·ô£¬£¬ £¬£¬ £¬£¬£¬ £¬½ø¶øÔì³Éϸ°ûË®Ö×µ¼ÖÂÆ¤·ôÀÏ»¯£¬£¬ £¬£¬ £¬£¬£¬ £¬ÒÔÊÇÔ½Óû¯×±Æ·Æ¤·ô¾ÍÔ½ÈÝÒ×ÐàÂõ¡£¡£¡£¡£¡£¡£¡£¡£¶øÓÐЩÈËÓÉÓÚÆ¤·ô¾­³£½ÓÊÜÃÀÈÝ£¬£¬ £¬£¬ £¬£¬£¬ £¬ÌØÊâÈÝÒ×ËðÉËÖÁ¼¬²ã¡¢¿ÅÁ£²ã£¬£¬ £¬£¬ £¬£¬£¬ £¬ÒÔÊÇ˵ÕâÖÖÃÀÈÝÊÇÔ½ÃÀÈÝÔ½ÐàÂõ£¬£¬ £¬£¬ £¬£¬£¬ £¬±ØÐèͿĨÓÍÖ¬ºÍ·ÛÖÊ»¯×±Æ·ÕÚÑÚ£¬£¬ £¬£¬ £¬£¬£¬ £¬²»È»Æ¤·ôºÜÄÑ¿´¡£¡£¡£¡£¡£¡£¡£¡£»£»£»£»£»¯×±Æ·µÄµÍÉøË®Ïà¿´·¨ÊÇÍêÈ«¹ýʧµÄ£¬£¬ £¬£¬ £¬£¬£¬ £¬ÓÉÓÚËüµÄË®ÏàÒªÇóÖ»ÄÜÓÃÈ¥Àë×ÓË®À´°ü¹ÜËüµÄÒªÇ󡣡£¡£¡£¡£¡£¡£¡£ËäÈ»ËüÖ®ÒÔÊÇÓÃÈ¥Àë×ÓË®ÉÐÓÐÒ»¸ö¼ÁÐ͵ÄÒªÇ󣬣¬ £¬£¬ £¬£¬£¬ £¬¿ÉÒÔʹ˪¼ÁÐͲ»É¢£¬£¬ £¬£¬ £¬£¬£¬ £¬ÓÐÀë×ӾͻáÓ°Ï컯ױƷµÄÎȹÌÐÔ¡£¡£¡£¡£¡£¡£¡£¡£

      ÎÒÃÇµÄÆ¤·ôÔÙÉú˪¼ÁµÄË®ÏàÊǵÈÉøµÄÒºÌ壬£¬ £¬£¬ £¬£¬£¬ £¬ÊÇÓÃÏʵÄÖ²Îï×éÖ¯ÒºÖÆ³ÉµÄ£¬£¬ £¬£¬ £¬£¬£¬ £¬Í¿ÔÚÆ¤·ôÉϼá³ÖÁËÆ¤·ôµÄÉúÌ¬ÉøÍ¸Ñ¹¡£¡£¡£¡£¡£¡£¡£¡£
      ÁíÍ⣬£¬ £¬£¬ £¬£¬£¬ £¬ÎÒÃÇÓõÄÓÍÊÇ¿ÉÈÜÐÔÖ¬·¾Ëᣬ£¬ £¬£¬ £¬£¬£¬ £¬ÕâÊÇ×îÒªº¦µÄÒ»µã£¬£¬ £¬£¬ £¬£¬£¬ £¬ÈôÊÇÊDz»¿ÉÈÜÐÔÖ¬·¾Ëᣬ£¬ £¬£¬ £¬£¬£¬ £¬Ëü¾ÍÎÞ·¨ÉøÍ¸µ½Æ¤·ôÍâòµÄÊý²ãÖ®ÄÚ£¬£¬ £¬£¬ £¬£¬£¬ £¬ºÍ¿ÅÁ£²ãϸ°û±¬·¢Ð­Í¬±£»£»£»£»£»¤×÷Óᣡ£¡£¡£¡£¡£¡£¡£Ò²¿ÉÒÔ˵²»¿ÉÈÜÐÔÖ¬·¾ËáͿĨÔÚÆ¤·ôÉϲ»Í¸Æø£¬£¬ £¬£¬ £¬£¬£¬ £¬Ö»ÄÜÆðµ½¸ôÀëµÄ×÷Ó㬣¬ £¬£¬ £¬£¬£¬ £¬¶ø²»Í¸Æø¸ôÀëµÄ×÷ÓÃÏÖʵÉϾÍÏñÈ˺ã¾Ã²»ãåÔ¡Ò»Ñù¡£¡£¡£¡£¡£¡£¡£¡£ºã¾Ã²»ãåÔ¡µÄÈËΪʲôƤ·ôÀÏ»¯£¿£¿£¿ £¿£¿¾ÍÊÇÓÉÓÚËäÈ»ÊÇ×Ô¼º±¬·¢µÄÖ¬·¾ËáÔÚÆ¤·ôÉÏ£¬£¬ £¬£¬ £¬£¬£¬ £¬µ«³¤Ê±¼äµ¼ÖÂÐí¶à³ÁÔü·ÏÎïȺ¼¯£¬£¬ £¬£¬ £¬£¬£¬ £¬Ôì³ÉƤ·ô²»¿ÉºôÎü²»¿É´úл£¬£¬ £¬£¬ £¬£¬£¬ £¬²»¿É´úл¾Í»á±¬·¢Ðí¶à»¯Ñ§µÄËáÐÔ»ò¼îÐÔµÄÎïÖÊ£¬£¬ £¬£¬ £¬£¬£¬ £¬ÕâÖÖ²»¿ÉÈÜÐÔÖ¬·¾Ëáʱ¼ä³¤Á˾ͻᱬ·¢ÖÖÖÖ»¯Ñ§·´Ó¦£¬£¬ £¬£¬ £¬£¬£¬ £¬Ò²¾ÍÆÆËðÁËÆ¤·ôµÄPHƽºâ£¬£¬ £¬£¬ £¬£¬£¬ £¬¸üÖ÷ÒªµÄÊÇÓ°ÏìÁËÆ¤·ô¿ÅÁ£²ãϸ°ûµÄÔÙÉú´úлÄÜÁ¦ºÍºÏ³É´úлÄÜÁ¦¡£¡£¡£¡£¡£¡£¡£¡£
      ÌìÏÂÉÏ»¯×±Æ·ÎÞÂÛÅä·½ÔõÑù£¬£¬ £¬£¬ £¬£¬£¬ £¬ÕâЩÍâÔ´ÐÔ»¯×±Æ·¶¼ºÜÄѽøÈëµ½ÕæÆ¤¡£¡£¡£¡£¡£¡£¡£¡£Ö®ÒÔÊÇÕâô˵£¬£¬ £¬£¬ £¬£¬£¬ £¬ÊÇÓÉÓÚÔÚ»ùÄÚÇé°û²ãÏÂÃæÓÐÒ»¸öĤ£¨Í¼7£©£¬£¬ £¬£¬ £¬£¬£¬ £¬Õâ¸öĤ²»µ«ÊÇΪÁË±íÆ¤ÓëÕæÆ¤µÄÅþÁ¬£¬£¬ £¬£¬ £¬£¬£¬ £¬ÕâÒ²Êǽâ¾öƤ·ôÆ÷¹ÙÔÙÉú»Ø¸´µÄÒ»¸ö×îÖ÷ÒªµÄÊÖÒÕ»·½Ú¡£¡£¡£¡£¡£¡£¡£¡£Õâ¸ö»ùµ×Ĥ¾ßÓаëͨ͸ÐÔ£¬£¬ £¬£¬ £¬£¬£¬ £¬ÔÚÆ¤·ôºÍ¶ÏÖ¸ÔÙÉúÖÎÁÆÊÖÒÕÉÏ£¬£¬ £¬£¬ £¬£¬£¬ £¬ÎÒÃÇ·ÂÉúÁËÕâ¸öĤ£¬£¬ £¬£¬ £¬£¬£¬ £¬Õâ²ãĤµÄÏÂÃæÓÐѪ¹Ü¡¢Éñ¾­£¬£¬ £¬£¬ £¬£¬£¬ £¬µ«Ñª¹Ü¹ý²»ÁËÕâ²ãĤ¡£¡£¡£¡£¡£¡£¡£¡£ÈôÊÇÄãµÄƤ·ôÒ»µ©³öѪ£¬£¬ £¬£¬ £¬£¬£¬ £¬¾Í˵Ã÷ÊÇÕâ²ãÄ¤ÆÆÁË¡£¡£¡£¡£¡£¡£¡£¡£ÎÒÃÇ¿´µ½µÄѪ˿£¬£¬ £¬£¬ £¬£¬£¬ £¬¶¼ÊÇÔÚ»ùµ×Ĥ֮Ïµģ¬£¬ £¬£¬ £¬£¬£¬ £¬³ý·ÇÒì³£µÄѪ˿£¬£¬ £¬£¬ £¬£¬£¬ £¬ÓÐЩ²¡±äµÄ¿ÉÒÔÍ»³öµ½»ùµ×Ĥ֮ÉÏ¡£¡£¡£¡£¡£¡£¡£¡£Õý³£µÄÐÄÀíÇéÐÎÏ£¬£¬ £¬£¬ £¬£¬£¬ £¬Ñª¹Ü¶¼ÔÚ»ùµ×ĤÏ£¬£¬ £¬£¬ £¬£¬£¬ £¬½ºÔ­ÏËάҲÔÚ»ùµ×ĤÏ£¬£¬ £¬£¬ £¬£¬£¬ £¬ÏËάÎÞ·¨Í¨¹ý£¬£¬ £¬£¬ £¬£¬£¬ £¬Î¨Ò»ÄÜͨ¹ýµÄÊÇÉñ¾­Ä©ÉÒ¡£¡£¡£¡£¡£¡£¡£¡££¨Í¼8£©Éñ¾­ÑÓÉìµ½»ùµ×Ĥ£¬£¬ £¬£¬ £¬£¬£¬ £¬»ùµ×ĤÍâÃæÉÐÓÐÒ»²ãĤ°üÈÆÔÚÉñ¾­ÍâÃæ£¬£¬ £¬£¬ £¬£¬£¬ £¬Ò»µ«´©¹ýÁËÕâ¸öĤ¾Í³ÉÁËûÓÐĤ°üÈÆµÄÏËά£¬£¬ £¬£¬ £¬£¬£¬ £¬½ÐÉñ¾­ÏËάµÄ̻¶¶Ë£¬£¬ £¬£¬ £¬£¬£¬ £¬ÒÔÊÇĤÉÏÃæ³ýÈ¥±íƤµÄËÄ´ó²ã£¬£¬ £¬£¬ £¬£¬£¬ £¬ÉÐÓÐһЩÎÞ°üĤµÄÉñ¾­Ä©ÉÒÏËά¡£¡£¡£¡£¡£¡£¡£¡£Òò´Ë´¥ÃþµÄʱ¼ä»á·ºÆð¸ÐÊÜ¡£¡£¡£¡£¡£¡£¡£¡£


     ¡¾ÔÙÉúÎïÖʵ¼ÈëÓëÆ¤·ôÔÙÉúµÄ´úл¡¿
     Ƥ·ô»ùµ×ĤµÄÖ÷ÒªÐÔÔÚÓÚËüÓаëͨ͸ÐÔ£¬£¬ £¬£¬ £¬£¬£¬ £¬ÕâÊÇÆ¤·ôÆ÷¹ÙÕæÆ¤¶ÔÍâºôÎüµÄÖ÷ҪͨµÀÖ®Ò»£¬£¬ £¬£¬ £¬£¬£¬ £¬Ò²ÊÇÈËÌåͨ¹ýƤ·ôºôÎüµÄ;¾¶¡£¡£¡£¡£¡£¡£¡£¡£ÈËÌåµÄºôÎüÓÐÁ½ÖÖ·½·¨£¬£¬ £¬£¬ £¬£¬£¬ £¬Ò»ÖÖÊǷεĺôÎü£¬£¬ £¬£¬ £¬£¬£¬ £¬Ò»ÖÖÊÇÆ¤·ô´úлͨµÀµÄºôÎü¡£¡£¡£¡£¡£¡£¡£¡£Æ¤·ôÑõµÄºôÎü´ó¶¼ÊÇͨ¹ýĤµÄͨµÀ£¨ËüÊǸö¼ä϶ͨµÀ£©£¬£¬ £¬£¬ £¬£¬£¬ £¬µ±½Ó´¥Ñõ·Ö×Óʱ£¬£¬ £¬£¬ £¬£¬£¬ £¬»ùµ×ĤµÄ¼ä϶¾ÍÀ©´óÁË£¬£¬ £¬£¬ £¬£¬£¬ £¬Ñõ·Ö×ӾͽøÀ´ÁË¡£¡£¡£¡£¡£¡£¡£¡£¸ß¿ÕÌøÉ¡µÄÈË£¬£¬ £¬£¬ £¬£¬£¬ £¬Ëû¿ÉÒÔÔڸ߿Õʱ°ÑƤ·ôÎüÊÕÑõµÄÍâò»ýÔöÌí£¬£¬ £¬£¬ £¬£¬£¬ £¬´Ó¶øÔöÌíÆ¤·ôµÄº¬ÑõÁ¿£¬£¬ £¬£¬ £¬£¬£¬ £¬¾ÍÊÇÓÉÓÚ°ë͸Ĥ¶ÔÑõ¾ßÓÐͨ͸ÐÔ¡£¡£¡£¡£¡£¡£¡£¡£»£»£»£»£ÉÐÓоÍÊÇÆ¤·ôµÄµçºÉµ¼Ïò£¬£¬ £¬£¬ £¬£¬£¬ £¬µçºÉµ¼ÏòÊǺÜÊÇÖ÷ÒªµÄ£¬£¬ £¬£¬ £¬£¬£¬ £¬¾ÍÏñ³¬Éù²¨µÈ£¬£¬ £¬£¬ £¬£¬£¬ £¬¿ÉÊÇÕâÀï²¢²»ÊÇʲô¶¼¿ÉÒÔͨ¹ý£¬£¬ £¬£¬ £¬£¬£¬ £¬Ëü×îÖ÷ÒªµÄÊÇʹÄÇÖÖûÓеçºÉ»òµçºÉÏàͬµÄͨ¹ý£¬£¬ £¬£¬ £¬£¬£¬ £¬ÈκÎÓеçºÉµÄ¶¼ÐèҪѡÔñһϡ£¡£¡£¡£¡£¡£¡£¡£ºÃ±È˵½ºÔ­ÂѰף¬£¬ £¬£¬ £¬£¬£¬ £¬ÎÒÃÇÔø×ö¹ýÊÔÑ飬£¬ £¬£¬ £¬£¬£¬ £¬¿´Äܲ»¿É°ÑË®½âµÄ½ºÔ­ÂѰ׵¼ÈëÆ¤Ï£¬£¬ £¬£¬ £¬£¬£¬ £¬¿É×îºóЧ¹ûÊDz»¹ÜÊÇÓúÎÖÖÒªÏòµ¼È룬£¬ £¬£¬ £¬£¬£¬ £¬¶¼Ã»Óв½·¥Ê¹Æä½øÈ룬£¬ £¬£¬ £¬£¬£¬ £¬Õâ˵Ã÷Ƥ·ôËü²»½ÓÊÜÕâÖÖÎïÖÊ¡£¡£¡£¡£¡£¡£¡£¡£ËäÈ»½ºÔ­ÂѰ××÷Ϊ´ó·Ö×ÓµÄÂѰ×Ò²²»¿ÉÄܱ»µ¼½øÈ¥£¬£¬ £¬£¬ £¬£¬£¬ £¬ÈôÕæµ¼½øÈ¥£¬£¬ £¬£¬ £¬£¬£¬ £¬Õâ¾Í³ÉÁËÒìÌåÂѰף¬£¬ £¬£¬ £¬£¬£¬ £¬¶ÔÈËÌåÓк¦¡£¡£¡£¡£¡£¡£¡£¡£ÎÒÃÇÆÊÎöË®½âµÄ½ºÔ­ÂѰ×Ö®ÒÔÊǵ¼²»½øÈ¥£¬£¬ £¬£¬ £¬£¬£¬ £¬¿ÉÄÜÊÇÓÉÓÚÂѰ×ÖʵÄ×é³É½á¹¹°±»ùËáµÄÔµ¹ÊÔ­ÓÉ£¬£¬ £¬£¬ £¬£¬£¬ £¬°±»ùËáÔÚijÖÖÇéÐÎÏÂÊÇ´øµçºÉµÄ£¬£¬ £¬£¬ £¬£¬£¬ £¬Õâ¸öË®½â½ºÔ­ÂѰ×Òò´ËÒ²´øµçºÉ£¬£¬ £¬£¬ £¬£¬£¬ £¬²¢ÇÒ¿ÉÄÜÓëÕâ²ãĤÏàÑ¡ÔñµÄµçºÉÏà·´£¬£¬ £¬£¬ £¬£¬£¬ £¬ÒÔÊDz»¿ÉÄܽøÈ뵽Ƥ·ôÄÚÀïÈ¥£¬£¬ £¬£¬ £¬£¬£¬ £¬×ÝÈ»ÎÒÃÇÓøßѹÑõӲѹµÄÒªÁìÒ²²»¿É¡£¡£¡£¡£¡£¡£¡£¡£ÒÔÊÇÕâ²ãĤÔÚÕæÆ¤µÄÃÀÈÝÉϺÜÒªº¦£¬£¬ £¬£¬ £¬£¬£¬ £¬ÒªÏëµÖ´ïƤ·ôÆ÷¹ÙÔÙÉú»Ø¸´µÄЧ¹û£¬£¬ £¬£¬ £¬£¬£¬ £¬Æ¤·ôÓªÑøÎïÖʱØÐèµÃͨ¹ý»ùµ×Ĥ½øÈ뵽Ƥ·ôÄÚÀïÈ¥¡£¡£¡£¡£¡£¡£¡£¡£
     ÎÒÃǵÄÔÙÉúÎïÖÊÄܲ»¿É͸½øÆ¤·ô£¿£¿£¿ £¿£¿ËäÈ»ÄÜ£¬£¬ £¬£¬ £¬£¬£¬ £¬ÎÒÃÇ×ö¹ýÊÔÑ飬£¬ £¬£¬ £¬£¬£¬ £¬ÔÚÑÛ´üµ¼ÈëÔÙÉúÎïÖÊ£¬£¬ £¬£¬ £¬£¬£¬ £¬Ã¿´Î¶¼ÄÜÏÔ×ŵؿ´µ½ÑÛ´ü±¥ÂúÆðÀ´ÁË£¬£¬ £¬£¬ £¬£¬£¬ £¬Õâ˵Ã÷ÄÇЩÔÙÉúÎïÖʱ»µ¼Èë½øÈ¥ÁË¡£¡£¡£¡£¡£¡£¡£¡£±íƤÏÂÊÇÕæÆ¤£¬£¬ £¬£¬ £¬£¬£¬ £¬ÎÒÃǶÔÕæÆ¤µÄÔÙÉú»Ø¸´Ö÷ÒªÓÐÁ½´óÄ¿µÄ£¬£¬ £¬£¬ £¬£¬£¬ £¬Ò»¸öÄ¿µÄÊǰѸ½¼þµÄ¹¦Ð§¸üУ¬£¬ £¬£¬ £¬£¬£¬ £¬ÁíÒ»¸ö¾ÍÊÇÊ¹ÕæÆ¤³ÉÏËάϸ°ûÔÙÉú¼°ÏËά±äÄêÇᣬ£¬ £¬£¬ £¬£¬£¬ £¬É¢×´ÏËά˿³ÉÊø£¬£¬ £¬£¬ £¬£¬£¬ £¬Í¬Ê±Ìî³ä×éÖ¯¡£¡£¡£¡£¡£¡£¡£¡£ÈçͼËùʾ£¨Í¼9¡¢Í¼10£©£¬£¬ £¬£¬ £¬£¬£¬ £¬¸½¼þ°üÀ¨º¹ÏÙºÍÆ¤Ö¬ÏÙ£¬£¬ £¬£¬ £¬£¬£¬ £¬º¹ÏÙÊÇ

º¹ÏÙÉøÍ¸Ï¸°û¡£¡£¡£¡£¡£¡£¡£¡£Ã«ÄÒϸ°ûÊÇ´ÓÂÑÅß×îÏȵÄÒ»¸öеÄϸ°û£¬£¬ £¬£¬ £¬£¬£¬ £¬ÊÇÒ»¸ö×ÔÁ¦µÄ¼Ò×å¡£¡£¡£¡£¡£¡£¡£¡£È˵ÄÉíÉÏÓÐÈýÖÖ룺¶Ìë¡¢³¤Ã«ºÍë¥Ã«£¬£¬ £¬£¬ £¬£¬£¬ £¬Í··¢Îª³¤Ã«¡£¡£¡£¡£¡£¡£¡£¡£´ÓÅß̥ʱÆÚ×îÏÈ£¬£¬ £¬£¬ £¬£¬£¬ £¬Éú³¤Ã«·¢µÄϸ°û¾ÍÓÐÈý¸ö²î±ðÔ­·¢Ï¸°û£¬£¬ £¬£¬ £¬£¬£¬ £¬Ò»¸öÊdz¤³¤Ã«µÄ£¬£¬ £¬£¬ £¬£¬£¬ £¬Ò»¸öÊÇÊÇ·ÇëµÄ£¬£¬ £¬£¬ £¬£¬£¬ £¬Ò»¸öÊdz¤ë¥Ã«µÄ£¬£¬ £¬£¬ £¬£¬£¬ £¬ë¥Ã«¼´º¹Ã«¡£¡£¡£¡£¡£¡£¡£¡£ËüÃDZ¬·¢µÄʱ¼ä²î±ð£¬£¬ £¬£¬ £¬£¬£¬ £¬¶ÌëºÍ³¤Ã«ÊÇÀ´×ÔÓÚ×îԭʼµÄÂÑÅߣ¬£¬ £¬£¬ £¬£¬£¬ £¬¶øº¹Ã«¿ÉÀ´×ÔÓÚ±íÆ¤¸Éϸ°û£¬£¬ £¬£¬ £¬£¬£¬ £¬Ò²¾ÍÊǽÇÂѰ×19ÐͼÒ×å¡£¡£¡£¡£¡£¡£¡£¡£ÒÔÊÇ´óÃæ»ýÉî¶ÈÉÕÉËʱÓúºÏÒÔºó¶¼Äܳ¤º¹Ã«£¬£¬ £¬£¬ £¬£¬£¬ £¬µ«³¤²»Á˳¤Ã«Ò²³¤²»Á˶Ìë¡£¡£¡£¡£¡£¡£¡£¡£ÔÚÕâÀïÒ²¸æË߸÷ÈË£¬£¬ £¬£¬ £¬£¬£¬ £¬ÌÂÈûÍÑ·¢Ó¦¸ÃÔÚÈË»¹Ã»ÓÐÍÑÂäÍ··¢Ç°¼ÓÒÔ¿ØÖÆ£¬£¬ £¬£¬ £¬£¬£¬ £¬²»ÈÃÍ··¢ÍÑÂ䣬£¬ £¬£¬ £¬£¬£¬ £¬Ò»µ©Ã«ÈéÍ·È«ÍÑÂäÁ˾ͳ¤²»³öÃæ·¢À´ÁË£¬£¬ £¬£¬ £¬£¬£¬ £¬Äܳ¤³öµÄ²»¹ýÊÇÀàËÆÓÚ¶ÌëµÄһЩë¥Ã«(ͼ11)¡£¡£¡£¡£¡£¡£¡£¡£ÕâÊÇÓÉÓÚÔÚÔÙÉúʱ£¬£¬ £¬£¬ £¬£¬£¬ £¬Ã«·¢ÊÇʹÓÃë·¢Àï±ßÖü´æµÄÐÅÏ¢»ú¹Ø¡ª¡ªÒþÎÑÀ´ÔÙÉúµÄ£¬£¬ £¬£¬ £¬£¬£¬ £¬Ã«ÒþÎÑÀïÖü´æÓжÌëºÍë¸ÉµÄÐÅÏ¢£¬£¬ £¬£¬ £¬£¬£¬ £¬ÈÎºÎÆ¤·ôÄÚÀï¶¼ÓÐÕâÖÖÐÅÏ¢¡£¡£¡£¡£¡£¡£¡£¡£ÓÉÓÚÈ˵Ľø»¯Ôì³ÉÓÐЩ²¿Î»²»³¤Ã«£¬£¬ £¬£¬ £¬£¬£¬ £¬ÓÐЩ³¤Ã«£¬£¬ £¬£¬ £¬£¬£¬ £¬Õâ¸öëÒþÎÑÊÇÓÉÓÚÈ˵Ľø»¯ËùÐγɵ쬣¬ £¬£¬ £¬£¬£¬ £¬µ«ÖÖ×å²î±ð£¬£¬ £¬£¬ £¬£¬£¬ £¬Ã«ÒþÎÑÔòÓÐËù²î±ð£¬£¬ £¬£¬ £¬£¬£¬ £¬¾ÍÏñÃÀ¹úÈËÉíÉÏÓÐÐí¶à룬£¬ £¬£¬ £¬£¬£¬ £¬µ«ÄÇÒ²ÊǶÌë¶ø²»Êdz¤Ã«¡£¡£¡£¡£¡£¡£¡£¡£ÔÛÃÇÑÇÖÞÈËÆ¤·ô½ÏÁ¿Æ½»¬£¬£¬ £¬£¬ £¬£¬£¬ £¬×ØÉ«ÈË¡¢ºÚÈËÒ²½ÏÁ¿Æ½»¬£¬£¬ £¬£¬ £¬£¬£¬ £¬ÊÇÓÉÓÚÒþÎѽÏÁ¿Èõ£¬£¬ £¬£¬ £¬£¬£¬ £¬²»³¤ÄÇô³¤µÄë¡£¡£¡£¡£¡£¡£¡£¡£ÎÒÃÇÔøÑо¿¹ýÔõôÄÜÈùâͺͷ¶¥³¤³öϸ룬£¬ £¬£¬ £¬£¬£¬ £¬µ±³õÎÒÃǰÑÿ¸öϸ°û¶¼ÄóöÀ´£¬£¬ £¬£¬ £¬£¬£¬ £¬¿´ÊÇÄÄÒ»ÖÖϸ°û³¤µÄ£¬£¬ £¬£¬ £¬£¬£¬ £¬·¢Ã÷¶¼ÊÇëÒþÎѳ¤µÄ¡£¡£¡£¡£¡£¡£¡£¡£ËäȻһµ©Ê§È¥ÁËëÄҾͲ»¿ÉÔÙ³¤Í··¢ÁË£¬£¬ £¬£¬ £¬£¬£¬ £¬¿ÉÊÇֻҪëÒþÎÑ»¹ÔÚ£¬£¬ £¬£¬ £¬£¬£¬ £¬¾ÍÉÐÓг¤Ã«µÄ¹¦Ð§£¬£¬ £¬£¬ £¬£¬£¬ £¬Ã¿Ò»¸öÒþÎѶ¼Äܳ¤³öÒ»¸öë¥Ã«À´¡£¡£¡£¡£¡£¡£¡£¡£Éç»áÉÏijЩÉú·¢²úÆ·¾ÍÊǴ̼¤Õâ¸öÒþÎѵÄϸ°û£¬£¬ £¬£¬ £¬£¬£¬ £¬µ«ÕâÖִ̼¤Ëù³¤³öµÄëºÜųÈõ£¬£¬ £¬£¬ £¬£¬£¬ £¬Ò»Åö¾ÍµôÁË£¬£¬ £¬£¬ £¬£¬£¬ £¬Ò»µ©Ã»Óд̼¤×÷ÓÃÁË£¬£¬ £¬£¬ £¬£¬£¬ £¬Õâë·¢¾Í²»³¤ÁË¡£¡£¡£¡£¡£¡£¡£¡£ÎÒÃÇÔÚÉÕÉËÖÎÁÆÖÐÒ²·¢Ã÷£¬£¬ £¬£¬ £¬£¬£¬ £¬Ö»ÒªÓÐÆ¤·ô±¬·¢¾ÍÓÐë¥Ã«£¬£¬ £¬£¬ £¬£¬£¬ £¬ËäÈ»ÊÖÕÆ³ýÍ⣬£¬ £¬£¬ £¬£¬£¬ £¬ÊÖÕÆÊÇûÓÐë¥Ã«µÄ£¬£¬ £¬£¬ £¬£¬£¬ £¬ÕâÊÇÒÅ´«µÄÌØÕ÷¡£¡£¡£¡£¡£¡£¡£¡£ÓÐÈËÎÊÄÐÐÔµÄ÷×ëÊÇʲô룿£¿£¿ £¿£¿Õâ¸öëÓжÌëµÄÖÖÀ࣬£¬ £¬£¬ £¬£¬£¬ £¬Ò²Óг¤Ã«µÄÖÖÀ࣬£¬ £¬£¬ £¬£¬£¬ £¬Ö÷ÒªÊdz¤Ã«ÖÖÀà¡£¡£¡£¡£¡£¡£¡£¡£

      Ƥ·ô·Å´óÒÔºó¿ÉÒÔ¿´µ½Ðí¶àë¿×£¬£¬ £¬£¬ £¬£¬£¬ £¬ËæÊ±¶¼¿ÉÄܱ¬·¢×ª±ä£¬£¬ £¬£¬ £¬£¬£¬ £¬ÓÃһЩÀ©Ã«¿×µÄ¡¢É¢Ã«¿×µÄÒªÁìÃÀÈÝÊǺÜÊDz»¿ÆÑ§µÄ£¬£¬ £¬£¬ £¬£¬£¬ £¬ÊÇÆÆËðÆ¤·ô¹¦Ð§µÄ£¬£¬ £¬£¬ £¬£¬£¬ £¬Ó¦¸ÃÈÃÆ¤·ô×ÔÉíµ÷Àí¡£¡£¡£¡£¡£¡£¡£¡£ÕæÆ¤µÄÁíÒ»¸ö¹¦Ð§ÊdzÉÏËάϸ°ûµÄ¹¦Ð§£¬£¬ £¬£¬ £¬£¬£¬ £¬£¨Í¼12£©³ÉÏËάϸ°ûÖ÷Òª¹¦Ð§ÊǺϳÉÏËά£¬£¬ £¬£¬ £¬£¬£¬ £¬Í³öÏËά£¬£¬ £¬£¬ £¬£¬£¬ £¬Õ³ÔÚÒ»Æð³ÉΪÏËÎ¬Êø¡£¡£¡£¡£¡£¡£¡£¡£Ëæ×ÅÄêËêµÄÔöÌí£¬£¬ £¬£¬ £¬£¬£¬ £¬²»µ«±íƤÀÏ»¯£¬£¬ £¬£¬ £¬£¬£¬ £¬ÆäÕæÆ¤ÄÚÒ²ÊǽºÔ­ÏËάÖð½¥ïÔÌ­Ö±ÖÁÏûÊÅ¡£¡£¡£¡£¡£¡£¡£¡£³ÉÏËάϸ°ûÄܱ¬·¢ÈýÖÖÏËά£¬£¬ £¬£¬ £¬£¬£¬ £¬Ò»ÖÖÊǽºÔ­ÏËά£¬£¬ £¬£¬ £¬£¬£¬ £¬Ò»ÖÖÊǵ¯Á¦ÏËά£¬£¬ £¬£¬ £¬£¬£¬ £¬ÉÐÓÐÒ»ÖÖÊÇÍø×´ÏËά¡£¡£¡£¡£¡£¡£¡£¡£ÈôÊÇÊÇÒ»¸öÄêÇáµÄ¹¦Ð§ºÃµÄϸ°û±¬·¢µÄË¿£¬£¬ £¬£¬ £¬£¬£¬ £¬¾ÍÊÇǿ׳µÄÊø£¬£¬ £¬£¬ £¬£¬£¬ £¬ÕâÑù¶à¸öÊøÔÚÆ¤·ôÄÚÀ£¬ £¬£¬ £¬£¬£¬ £¬Æ¤·ô¾Í±¥ÂúºÍÓе¯ÐÔÁË¡£¡£¡£¡£¡£¡£¡£¡£¿ÉÊÇÒ²²»ÊǹâÓÐË¿¾ÍÐÐÁË£¬£¬ £¬£¬ £¬£¬£¬ £¬ÀýÈç°ÌºÛ£¬£¬ £¬£¬ £¬£¬£¬ £¬ÄǾÍÊÇÓÉÓÚÔÓÂÒÎÞÕµĽºÔ­ÂѰ×˿̫¶àÁË£¬£¬ £¬£¬ £¬£¬£¬ £¬Ã»ÓнáµÞ×éÖ¯ÐÄÀí½á¹¹¶àÓàµÄ¿Õ¼äÁË£¬£¬ £¬£¬ £¬£¬£¬ £¬½ºÔ­ÂѰ×Ë¿½»Ö¯£¬£¬ £¬£¬ £¬£¬£¬ £¬¾ÍÐγɽÏÓ²µÄ°ÌºÛ¡£¡£¡£¡£¡£¡£¡£¡£±¬·¢½ºÔ­ÂѰ×Á¿µÄ¼¸¶à£¬£¬ £¬£¬ £¬£¬£¬ £¬¾ÍÔÚÓÚÕæÆ¤ÄÚÀïÆäËû½áµÞ×éÖ¯µÄµ÷¿ØºÍÉÏÆ¤Ï¸°ûµÄµ÷¿Ø£¬£¬ £¬£¬ £¬£¬£¬ £¬Ò»¸öµ÷¿ØÊÇ¿¿ÉÏÆ¤Ï¸°ûºÍ³ÉÏËάϸ°ûÖ®¼äµÄ¹ØÏµµ÷¿Ø£¬£¬ £¬£¬ £¬£¬£¬ £¬ÁíÒ»¸öµ÷¿ØÊÇ¿¿½áµÞ×éÖ¯±£´æÆäËûϸ°ûÄÚÀïµÄµ÷¿Ø¡£¡£¡£¡£¡£¡£¡£¡£½áµÞ×éÖ¯µÄµ÷¿ØÖ÷ÒªÊÇÈËÐàÂõÁËÒԺ󱬷¢ÕâЩÏËάµÄÁ¿ïÔÌ­¡£¡£¡£¡£¡£¡£¡£¡£ÎÒÃÇÕâÀïÖ÷Ҫ˵˵ÉÏÆ¤Ï¸°ûºÍ³ÉÏËάϸ°ûµÄ¹ØÏµ¡£¡£¡£¡£¡£¡£¡£¡£Õý³£Æ¤·ôµÄϸ°û½á¹¹±ÈÀýÊÇ£ºÒ»¸öÉÏÆ¤Ï¸°û±ÈËĸöÏËάϸ°û£¬£¬ £¬£¬ £¬£¬£¬ £¬Ò»±ÈËÄ¡£¡£¡£¡£¡£¡£¡£¡£È˵Äñ£ºÛ×éÖ¯ÊÇÒ»¸öÉÏÆ¤Ï¸°û±È¾Å¸öÒÔÉϽºÔ­ÏËάϸ°û¡£¡£¡£¡£¡£¡£¡£¡£³¤°ÌºÛµÄÈ˾ÍÊǽºÔ­ÏËάϸ°ûÔöÉú£¬£¬ £¬£¬ £¬£¬£¬ £¬³¤Î®ËõÐ԰̺۵ÄÈËÊǵ¯Á¦ÏËάϸ°ûÔöÉú£¬£¬ £¬£¬ £¬£¬£¬ £¬²»ÊǽºÔ­ÏËάϸ°ûÔöÉú¡£¡£¡£¡£¡£¡£¡£¡£¿ÉÊDz»¹ÜƤ·ôÓÐûÓа̣¬£¬ £¬£¬ £¬£¬£¬ £¬¶¼·ºÆðÉÏÆ¤Ï¸°ûºÍÏËάϸ°ûÒ»±ÈÊ®¼¸ÒÔÉϵĹØÏµ£¬£¬ £¬£¬ £¬£¬£¬ £¬Ò»¸öÔöÉúÐ԰̺ÛÊÇÒ»±È¶þÊ®µÄ¹ØÏµ£¬£¬ £¬£¬ £¬£¬£¬ £¬Ò²¾ÍÊÇÒ»¸öÉÏÆ¤Ï¸°ûÅäÉ϶þÊ®¸öÏËάϸ°û£¬£¬ £¬£¬ £¬£¬£¬ £¬ÄǾÍÊÇÕý·²ÈËÆ¤·ôÐàÂõµÄÔµ¹ÊÔ­ÓÉ¡£¡£¡£¡£¡£¡£¡£¡£
      ÉÏÊöÄÚÈÝ˵Ã÷ÔÙÉú»Ø¸´Ö÷ÒªµÄÊÇÒª»Ö¸´ÆäƤ·ôÕý³£µÄÐÄÀí¹¦Ð§¡£¡£¡£¡£¡£¡£¡£¡£Õý·²ÈËµÄÆ¤·ôÐàÂõÁË£¬£¬ £¬£¬ £¬£¬£¬ £¬Òâζ×ÅËûƤ·ôµÄÐí¶à¹¦Ð§È±Ê§ÁË»òÍË»¯ÁË¡£¡£¡£¡£¡£¡£¡£¡£Òò´ËÎÒÃÇµÄÆ¤·ôÔÙÉú±ØÐè¿ØÖÆÏ¸°û£¬£¬ £¬£¬ £¬£¬£¬ £¬ÈÃϸ°ûǿ׳£¬£¬ £¬£¬ £¬£¬£¬ £¬»Ö¸´Õý³£ÐÄÀí¹¦Ð§¡£¡£¡£¡£¡£¡£¡£¡£ÎÒÃÇÔÚʵ¼ùÖÐ¾ÍÆô¶¯Á˽ÇÂѰ×Ê®¾ÅÐ͸Éϸ°û£¬£¬ £¬£¬ £¬£¬£¬ £¬ËäȻҲ¿ÉÒÔÆô¶¯½ÇÂѰ×Ê®¾ÅÐÍÒÔϵÄϸ°û¡£¡£¡£¡£¡£¡£¡£¡£ÎÒÃÇÊ×ÏÈ°Ñ±íÆ¤»ùµ×²ãϸ°ûÆô¶¯ÆðÀ´£¬£¬ £¬£¬ £¬£¬£¬ £¬Ê¹Ëü¿ÉÒÔÔöÌíÉúÃü»îÁ¦£¬£¬ £¬£¬ £¬£¬£¬ £¬ÖØÐÞ£¬£¬ £¬£¬ £¬£¬£¬ £¬Í¬Ê±³ÉÏËάϸ°ûÒ²¸üС£¡£¡£¡£¡£¡£¡£¡£Ò»¸ö90ËêµÄÀÏÈË£¬£¬ £¬£¬ £¬£¬£¬ £¬»ùÄÚÇé°ûÖ»ÓÐ5%ÊÇÓй¦Ð§µÄ¡£¡£¡£¡£¡£¡£¡£¡£ÈËÒ»µ©ÐàÂõÁË£¬£¬ £¬£¬ £¬£¬£¬ £¬Ï¸°û¾ÍÄÑÒÔÔÙÉúµ½×ã¹»µÄÊýÄ¿£¬£¬ £¬£¬ £¬£¬£¬ £¬ÒÔÊÇÒ»¶¨Òª°ü¹ÜÔÙÉúÎïÖʵÄÁ¿£¬£¬ £¬£¬ £¬£¬£¬ £¬È·±£Ï¸°ûµÄ¹¦Ð§¡£¡£¡£¡£¡£¡£¡£¡£Ò»Ñùƽ³£À´Ëµ£¬£¬ £¬£¬ £¬£¬£¬ £¬³ÉÏËάϸ°ûµÄ¹¦Ð§£¬£¬ £¬£¬ £¬£¬£¬ £¬Ëæ×ÅÄêËêµÄÔöÌí»á´úлµÍÏ£¬£¬ £¬£¬ £¬£¬£¬ £¬Õâ¸öµÍÏÂÖ¸µÄÊDZ¬·¢ÏËάµÄËÙÂʼõÂý¡¢±¬·¢µÄÁ¿ïÔÌ­£¬£¬ £¬£¬ £¬£¬£¬ £¬±¬·¢µÄ½ºÔ­ÏËά²»¿ÉÊø¡£¡£¡£¡£¡£¡£¡£¡£Ò»¸öÕý³£Ï¸°û±¬·¢µÄÏËάÈç×óͼËùʾ(ͼ13)£¬£¬ £¬£¬ £¬£¬£¬ £¬Ò»¸öÐàÂõµÄϸ°û±¬·¢µÄÏËάÈçÓÒͼËùʾ¡£¡£¡£¡£¡£¡£¡£¡££¨Í¼14£©Õâ¸öÐàÂõµÄϸ°û±¬·¢µÄË¿ÊÇÔÓÂÒÎÞյ쬣¬ £¬£¬ £¬£¬£¬ £¬Ã»Óе¯Á¦£¬£¬ £¬£¬ £¬£¬£¬ £¬ÓÖÉ¢ÓÖÉÙ¡£¡£¡£¡£¡£¡£¡£¡£ÈËÀÏÁË£¬£¬ £¬£¬ £¬£¬£¬ £¬ÔÚϸ°ûÀﱬ·¢µÄÔ­ÏËά


¾ÍÔÓÂÒÎÞÕ£¬£¬ £¬£¬ £¬£¬£¬ £¬³ÉÏËάϸ°ûͳöÀ´µÄÏËάҲ¾Í²»¿ÉÊøÁË¡£¡£¡£¡£¡£¡£¡£¡£ÒÔÊÇËûµÄƤ·ô×éÖ¯ÄÚÀï¾ÍÊÇÆÓªµÄ£¬£¬ £¬£¬ £¬£¬£¬ £¬Æ¤·ô¾Í²»½ôÖ¡£¡£¡£¡£¡£¡£¡£¡£ÎÒÃÇÔÙÉúÎïÖʵĹ¦Ð§¾ÍÊÇÒª°ÑÕâÖÖϸ°û²»Õý³£µÄ¹¦Ð§¾ÀÕý¹ýÀ´¡£¡£¡£¡£¡£¡£¡£¡£ÎÒÃÇÒªÔöÌíϸ°ûµÄ»îÐÔ¡£¡£¡£¡£¡£¡£¡£¡£Æ¤·ôÕæÆ¤µÄ±¥Âúˮƽ£¬£¬ £¬£¬ £¬£¬£¬ £¬ÊÇ¿¿³ÉÏËάϸ°û»îÁ¦µÄÔöÇ¿À´ÊµÏֵġ£¡£¡£¡£¡£¡£¡£¡£ÔÚ»îÁ¦Ã»ÓÐÔöǿ֮ǰÏȰѱ¬·¢µÄÏËά³ÉÊø£¬£¬ £¬£¬ £¬£¬£¬ £¬Ò»±ß³ÉÊø£¬£¬ £¬£¬ £¬£¬£¬ £¬Ò»±ß¸üС£¡£¡£¡£¡£¡£¡£¡£ÕâÑù¾Í·ºÆðÒ»¸ö¼á³ÖÄêÇá»Ø¸´×´Ì¬¡£¡£¡£¡£¡£¡£¡£¡£Õâ¸öƤ·ôÔÙÉú»Ø¸´µÄʱ¼äÎÊÌâÉæ¼°´úлʱ¼äÎÊÌâ¡£¡£¡£¡£¡£¡£¡£¡£±íƤµÄ´´ÉËÐÔÐÞ¸´ËÙÂʿ죬£¬ £¬£¬ £¬£¬£¬ £¬Ò»Ñùƽ³£7ÌìÐÞ¸´Íê³É¡£¡£¡£¡£¡£¡£¡£¡£Ò»¸öÕý·²ÈËµÄ±íÆ¤ÐÄÀí´úл£¬£¬ £¬£¬ £¬£¬£¬ £¬ÔòÊÇ7ÌìÒ»²ã£¬£¬ £¬£¬ £¬£¬£¬ £¬»ùµ×²ãµ½½ÇÖʲãÊÇ30²ãϸ°û£¬£¬ £¬£¬ £¬£¬£¬ £¬ÈýÆß¶þ°ÙһʮÌì¡£¡£¡£¡£¡£¡£¡£¡£Ò»¸öÍêȫɹºÚµÄÈ˾­ÓÉ210Ìì¿ÉÒԻظ´»ØÔ­À´µÄÑÕÉ«¡£¡£¡£¡£¡£¡£¡£¡£Æ¤·ôÍâòµÄ»ÆºÖ°ß¡¢ÍíÄê°ßÎÒÃǶ¼¿ÉÒÔ½â¾ö£¬£¬ £¬£¬ £¬£¬£¬ £¬µ«²»ÊÇÓü¤¹â¡¢¹â×ÓÏûµô¾Í¿ÉÒÔÁË£¬£¬ £¬£¬ £¬£¬£¬ £¬ÕâÑù»¹»áÔÙ³¤£¬£¬ £¬£¬ £¬£¬£¬ £¬ÓÉÓÚÊÇϸ°ûµÄÒì³£ÊôÐÔû±ä¡£¡£¡£¡£¡£¡£¡£¡£ÎÒÃÇÊÇÓÃÔÙÉú¸Ä±äÕâ¸öϸ°ûµÄÒì³£ÊôÐÔ£¬£¬ £¬£¬ £¬£¬£¬ £¬¼¤»î¶þ´ÎÉúÃüϸ°û£¬£¬ £¬£¬ £¬£¬£¬ £¬Ê¹Æ¤·ôÔÙÉú»Ø¸´¡£¡£¡£¡£¡£¡£¡£¡£
      ÕæÆ¤µÄ½áµÞ×éÖ¯´úлʱ¼äÒ»Ñùƽ³£Êǰë¸öÔ£¬£¬ £¬£¬ £¬£¬£¬ £¬ÕâÒ²ºÍ¼¾½Úת±äÓйØÏµ¡£¡£¡£¡£¡£¡£¡£¡£ÎÒÃÇ´ÓÈËÌåÉÏÊÓ²ì½ÏÁ¿¶àµÄÊÇθ³¦Õ³Ä¤£¬£¬ £¬£¬ £¬£¬£¬ £¬µ½3¸öÔµÄʱ¼ä£¬£¬ £¬£¬ £¬£¬£¬ £¬Î¸³¦Õ³Ä¤ÏÔ×ű¬·¢Á˸ı䣬£¬ £¬£¬ £¬£¬£¬ £¬ÒѾ­¸üС£¡£¡£¡£¡£¡£¡£¡£Î¸³¦Õ³Ä¤ÔöÌíËÙÂÊÊÇ3¸öÔ£¬£¬ £¬£¬ £¬£¬£¬ £¬Æ¤·ôÒ²ÊÇÕâÑù£¬£¬ £¬£¬ £¬£¬£¬ £¬¿ÉÊÇ»¹Ã»ÓкÜÊÇ׼ȷµÄÊý×Ö¡£¡£¡£¡£¡£¡£¡£¡£±íƤ½ÏÁ¿ÏÔ×Å£¬£¬ £¬£¬ £¬£¬£¬ £¬±íƤµÄËðÉËÐÔÐÞ¸´ËÄ´ó²ãÍê³ÉÐèÒª7ÌìµÄʱ¼ä£¬£¬ £¬£¬ £¬£¬£¬ £¬ÕâÒ²´Ó±íƤÉÕÉËÐèÒª7Ìì¡¢ÍâòµÄ¼¤¹âÒ²ÊǼ¸ÌìÐÞ¸´¾Í¿ÉÒÔ¿´³öÀ´¡£¡£¡£¡£¡£¡£¡£¡£µ«ÕæÆ¤ÐÞ¸´¶¼ÔÚ3ÖÜÒÔÉÏ£¬£¬ £¬£¬ £¬£¬£¬ £¬ÕæÆ¤µÄÔÙÉú£¬£¬ £¬£¬ £¬£¬£¬ £¬Ò²Ö»ÓÐÎÒÃÇ×öµ½ÁË£¬£¬ £¬£¬ £¬£¬£¬ £¬±ðÈ˶¼Êǰ̺ÛÐÞ¸´¡£¡£¡£¡£¡£¡£¡£¡£±ÈÕæÆ¤ÔÙÉîµÄËðÉË£¬£¬ £¬£¬ £¬£¬£¬ £¬Ò»Ñùƽ³£Ò²Ã»ÓÐÁè¼Ý4ÖÜÐÞ¸´µÄ¡£¡£¡£¡£¡£¡£¡£¡£
¡¾Æ¤·ôÔÙÉú»Ø¸´µÄ¶¯ÎïÊÔÑéÊý¾Ý¡¿
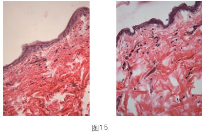
     ÎÒÃÇ×öÁËÃ÷È·ÊóÊÔÑ飬£¬ £¬£¬ £¬£¬£¬ £¬Î¹ÑøµÄÁ½ÅúÀÏÊó¶¼ÊÇ300ÌìµÄ³ÉÄê°×Ê󣬣¬ £¬£¬ £¬£¬£¬ £¬Ò»×é³ÔÉÅËØ£¬£¬ £¬£¬ £¬£¬£¬ £¬10%µÄ£»£»£»£»£»Ò»×é±ÈÕÕ£¬£¬ £¬£¬ £¬£¬£¬ £¬Í¬ÑùµÄÁ¿Î¹Ñø£¬£¬ £¬£¬ £¬£¬£¬ £¬Î¹µ½826Ì죬£¬ £¬£¬ £¬£¬£¬ £¬Î¹ÔÙÉúÎïÖʵÄÕâ×é³ýÈ¥Á½¸öÀ­¶Ç×ÓéæÃüµÄ£¬£¬ £¬£¬ £¬£¬£¬ £¬Ê£Ï¶¼ÔÚÊÀ¡£¡£¡£¡£¡£¡£¡£¡£  ¶ø±ÈÕÕµÄÄÇÒ»×飬£¬ £¬£¬ £¬£¬£¬ £¬Ö»ÓÐÒ»Ö»»îµ½826Ì죬£¬ £¬£¬ £¬£¬£¬ £¬ÆäËû¶¼ÔÚ550Ìì×óÓÒéæÃü¡£¡£¡£¡£¡£¡£¡£¡£°ÑËùÓÐÔàÆ÷×ö×éÖ¯ÇÐÆ¬£¨Í¼15£©£¬£¬ £¬£¬ £¬£¬£¬ £¬ÊÔÑé×éÀÏÊóµÄƤ·ô

ÊÇÄêÇáµÄ£¬£¬ £¬£¬ £¬£¬£¬ £¬±ÈÕÕ×é¾ÍÊÇÍË»¯µÄ£¬£¬ £¬£¬ £¬£¬£¬ £¬ËùÓÐÆ÷¹Ù¶¼ÊÇÒ»Ñù£¬£¬ £¬£¬ £¬£¬£¬ £¬³ÔÔÙÉúÎïÖʻ826Ì죬£¬ £¬£¬ £¬£¬£¬ £¬Áè¼ÝÕý³£ÀÏÊóÊÙÃüÒ»±¶µÄÀÏÊóµÄƤ·ôÆ÷¹ÙºÍ»îµ½300ÌìµÄÀÏÊóµÄÆ÷¹ÙÊÇÒ»ÑùµÄ£¬£¬ £¬£¬ £¬£¬£¬ £¬Ã»ÓÐÐàÂõ¡£¡£¡£¡£¡£¡£¡£¡£ÀÏÊóµÄƽ¾ùÊÙÃüÄêËêÊÇ480Ìì¡£¡£¡£¡£¡£¡£¡£¡£ÎÒÃǵÄÀÏÊó»îµ½826Ì죬£¬ £¬£¬ £¬£¬£¬ £¬Ê£ÏµÄÑøµ½Áè¼ÝһǧÌ죬£¬ £¬£¬ £¬£¬£¬ £¬ÒѾ­ÊÇÕý³£ÀÏÊóµÄ½üÈý±¶ÊÙÃüÄêËê¡£¡£¡£¡£¡£¡£¡£¡£ÕâÊÇÎÒÃÇʵÑéµÄЧ¹û£¬£¬ £¬£¬ £¬£¬£¬ £¬ÎÒÃÇÔÚÓøü¶àµÄÊÔÑé֤ʵ¡£¡£¡£¡£¡£¡£¡£¡£°´ÀÏÊóµÄÊÙÃüÄêËêÕÛË㣬£¬ £¬£¬ £¬£¬£¬ £¬ÔÙÉúÎ¹Ñøµ½200ËêºÍÖÐÄêÊóÊÇÒ»ÑùµÄ£¬£¬ £¬£¬ £¬£¬£¬ £¬ÒÀ¾ÉÄêÇá¡£¡£¡£¡£¡£¡£¡£¡£Æ¤·ôÕý³£µÄ»ùÄÚÇé°ûÊÇÖù×´µÄ£¬£¬ £¬£¬ £¬£¬£¬ £¬ÀÏ»¯µÄÌåÏÖ¾ÍÊÇ±íÆ¤Ï¸°ûËúÏÝ£¬£¬ £¬£¬ £¬£¬£¬ £¬²»´úлÁË£¬£¬ £¬£¬ £¬£¬£¬ £¬Ö»Óм¸¸öÊÇÖù×´µÄ¡£¡£¡£¡£¡£¡£¡£¡£ÕæÆ¤¾ÍÊ£¼¸¸ö¿ò¼Ü£¬£¬ £¬£¬ £¬£¬£¬ £¬½ºÔ­ÏËάûÓм¸¶à£¬£¬ £¬£¬ £¬£¬£¬ £¬Á¬½áµÞ×é֯ҲʣÁ˼¸¸ö¿ò¼Ü£¬£¬ £¬£¬ £¬£¬£¬ £¬ÅþÁ¬µÄÏËάҲûÓм¸¶àÁË¡£¡£¡£¡£¡£¡£¡£¡£Ã÷È·Ê󯤷ôÕâ¸öЧ¹û»¹Ö»ÊÇ¿¿¿Ú·þµÖ´ïµÄЧ¹û£¬£¬ £¬£¬ £¬£¬£¬ £¬²¢Ã»ÓÐÆ¤·ôÍâÔڵĵ¼È룬£¬ £¬£¬ £¬£¬£¬ £¬¾ÍÄִܵïÕâôºÃµÄЧ¹û¡£¡£¡£¡£¡£¡£¡£¡£¿£¿£¿ £¿£¿ÉÒÔÕâô˵ÀÏÊ󯤷ôÒ»×îÏȾÍÊÇÕâÑù£¬£¬ £¬£¬ £¬£¬£¬ £¬ÎÒÃǰÑËüά³ÖסÁË¡£¡£¡£¡£¡£¡£¡£¡£ÈôÊÇÒѾ­ÀÏÁËÏë±äÔ­À´×îÄêÇáÒ²²»Ì«¿ÉÄÜ£¬£¬ £¬£¬ £¬£¬£¬ £¬ÓÉÓÚÏËÎ¬ÊøÒѾ­É¢ÁË¡£¡£¡£¡£¡£¡£¡£¡£ÎÒÃÇÓÃÑõÆø°ÑÔÙÉúÎïÖÊ´Ó»ùµ×Ĥµ¼Èë½øÈ¥£¬£¬ £¬£¬ £¬£¬£¬ £¬ÕâЩÔÙÉúÎïÖÊÔÙ½øÈë×éÖ¯µÄ¸÷¸ö²¿Î»¡£¡£¡£¡£¡£¡£¡£¡£ËäÈ»ÎÒÃÇÒ²ÈÃÕâЩϸ°û´ÓѪҺÄÚÀï»ñµÃÔÙÉúÎïÖÊ£¬£¬ £¬£¬ £¬£¬£¬ £¬·½·¨¾ÍÊǿڷþ¡£¡£¡£¡£¡£¡£¡£¡£ÒÔÊÇÎÒÃǵĻáËùÆ÷¹ÙÔÙÉúÊÇÈ«ÏîµÄ£¬£¬ £¬£¬ £¬£¬£¬ £¬¶ø²»ÊǼòµ¥ÏîÄ¿£¬£¬ £¬£¬ £¬£¬£¬ £¬ÒÔÉÏÄÚÈÝÖ÷ÒªÊÇÕë¶ÔƤ·ôµÄ¡£¡£¡£¡£¡£¡£¡£¡£
      ÕâÊÇÆ¤·ôÄÚÀïÒ»¸ö³ÉÏËάϸ°û±¬·¢Ë¿È»ºóÍÂË¿£¨Í¼16£©£¬£¬ £¬£¬ £¬£¬£¬ £¬µ«ÐàÂõµÄϸ°û¾ÍͲ»³öË¿À´£¬£¬ £¬£¬ £¬£¬£¬ £¬ÈçÏëÄêÇᣬ£¬ £¬£¬ £¬£¬£¬ £¬¾Í±ØÐèÈÃËü¾ÙÐÐ×ÔÎÒ¸üС£¡£¡£¡£¡£¡£¡£¡£ÎÒÃÇÒª×öµÄ¾ÍÊǰѳÉÏËάϸ°ûÄð³É³ÉÏËάĸϸ°û¡£¡£¡£¡£¡£¡£¡£¡£ÒªÍ¨¹ýƤ·ô×éÖ¯ÄÚÀïµÄ¼äÖÊϸ°û£¬£¬ £¬£¬ £¬£¬£¬ £¬Æô¶¯µÚ¶þ´ÎÉúÃüϸ°û£¬£¬ £¬£¬ £¬£¬£¬ £¬ÈüäÖÊϸ°û±¬·¢ÐµijÉÏËάĸϸ°û£¬£¬ £¬£¬ £¬£¬£¬ £¬¶ø²»ÊÇʹÓÃÕâЩ³ÉÏËάϸ°ûµÄµÚÒ»´ÎÉúÃü£¬£¬ £¬£¬ £¬£¬£¬ £¬¸ü²»ÊÇÓɳÉÏËάϸ°ûÄð³É³ÉÏËάĸϸ°û¡£¡£¡£¡£¡£¡£¡£¡£ÕâÀïµÄ³ÉÏËάĸϸ°û¾ÍÊÇÖ¬·¾½áµÞ×éÖ¯ÄÚÀïµÄ¼äÖÊϸ°û±¬·¢µÄ¡£¡£¡£¡£¡£¡£¡£¡£

     ¡¾Æ¤·ôÔÙÉúµÄϸ°ûѧת±ä¡¿
      Ƥ·ôÉÏÆ¤Ï¸°ûȪԴÓÚ½ÇÂѰ×19ÐÍ£¬£¬ £¬£¬ £¬£¬£¬ £¬½ÇÂѰ×19ÐÍϸ°û¿ÉÒÔ´Ó¼äÖÊϸ°ûת±ä£¬£¬ £¬£¬ £¬£¬£¬ £¬¿ÉÒÔ´ÓÈâÑ¿×é֯ת±ä£¬£¬ £¬£¬ £¬£¬£¬ £¬Ò²¿ÉÒÔ´Ó¹ÇËèϸ°ûת±ä¡£¡£¡£¡£¡£¡£¡£¡£ÎÒÃÇÔÚ¹ÇÍ·ÉÏ´òÉϿף¬£¬ £¬£¬ £¬£¬£¬ £¬È¡ÈâÑ¿Á¬Ã¦È¥×öϸ°ûÅжϣ¬£¬ £¬£¬ £¬£¬£¬ £¬ºÜ¿ì¾Í»á·ºÆð½ÇÂѰ×19ÐÍ¡£¡£¡£¡£¡£¡£¡£¡£±È¼°ÈâÑ¿×é֯ƽÁË£¬£¬ £¬£¬ £¬£¬£¬ £¬ÂíÉϾÍÄð³É½ÇÂѰ×19ÐÍÆ¤·ôϸ°û£¬£¬ £¬£¬ £¬£¬£¬ £¬Í¬Ê±Ò²»á·¢ÌìÉúÏËάĸϸ°û¡£¡£¡£¡£¡£¡£¡£¡£Ò»¶¨ÒªÊ¼ÖÕ¼á³ÖÕæÆ¤×éÖ¯ÄÚÀïÓгÉÏËάĸϸ°ûÐèÒªµÄÔÙÉúÎïÖÊ£¬£¬ £¬£¬ £¬£¬£¬ £¬²Å»ª¼¤»î³ÉÏËάĸϸ°û£¬£¬ £¬£¬ £¬£¬£¬ £¬»òÕß±£ÑøºÃÕâÖÖϸ°û£¬£¬ £¬£¬ £¬£¬£¬ £¬Ê¹Ëü±¬·¢ÐµĽºÔ­Ä¸Ï¸°û¡£¡£¡£¡£¡£¡£¡£¡£ÍíÄêÈËÒѾ­ÓÐÁËÐàÂõµÄÏËάϸ°û£¬£¬ £¬£¬ £¬£¬£¬ £¬ÎÒÃǾÍÓõ¼ÈëÔÙÉúÎïÖʵÄÒªÁìʹÕâÏËάÔÙ³ÉÊø£¬£¬ £¬£¬ £¬£¬£¬ £¬Ò»±ßÈÃËü³ÉÊø£¬£¬ £¬£¬ £¬£¬£¬ £¬Ò»±ßÔÙÈóÉÏËάĸϸ°û³É»î£¬£¬ £¬£¬ £¬£¬£¬ £¬¸üУ¬£¬ £¬£¬ £¬£¬£¬ £¬È¡´úÕâЩÐàÂõµÄ³ÉÏËάϸ°û£¬£¬ £¬£¬ £¬£¬£¬ £¬±¬·¢¸ü¶àµÄÏËά¡£¡£¡£¡£¡£¡£¡£¡£Õâ¸öʱ¼äºÜÂý£¬£¬ £¬£¬ £¬£¬£¬ £¬°ëÄêÄܹ»ÊÕЧ£¬£¬ £¬£¬ £¬£¬£¬ £¬ÓÉÓÚ»¹Òª°ÑÐàÂõµÄÏËÎ¬ÊøÎüÊÕ½µ½âµô£¬£¬ £¬£¬ £¬£¬£¬ £¬¶øÕâÖÖÏËÎ¬Êø»áËæ×ÅÎÒÃǵÄÖ¬·¾Ëá´úл¶øÎüÊÕ£¬£¬ £¬£¬ £¬£¬£¬ £¬¾¿¾¹¶à³¤Ê±¼ä²ÅÍêÈ«¿¢Ê£¬£¬ £¬£¬ £¬£¬£¬ £¬Ê±¼ä»¹²»¸ÒÈ·¶¨¡£¡£¡£¡£¡£¡£¡£¡£ÏÖÔÚÖ»ÄÜ˵°ëÄêʱ¼ä»áÓÐÒ»¸ö½ÏΪÏÔ×ŵÄЧ¹û¡£¡£¡£¡£¡£¡£¡£¡£×èÖ¹ÔÙÍâÐÐÒÕ²Ù×÷£¬£¬ £¬£¬ £¬£¬£¬ £¬¾Í»á×èÖ¹ÔÚÆäʱµÄÔÙÉú»Ø¸´×´Ì¬¡£¡£¡£¡£¡£¡£¡£¡£³¤Ê±¼ä²»×öÆ÷¹ÙÔÙÉú»Ø¸´£¬£¬ £¬£¬ £¬£¬£¬ £¬¾Í»áÔÚÒѾ­»ñµÃÔÙÉúµÄ»ù´¡ÉϼÌÐøÀÏ»¯¡£¡£¡£¡£¡£¡£¡£¡£ÓÉÓÚÆ¤·ôµÄ´úлÊÇ7ÌìÒ»²ã£¬£¬ £¬£¬ £¬£¬£¬ £¬ÎÒÃǾÍÊÇÓÃÕâÖÖÈÝÒ×´úл¿ÉÒÔËæÁܰͽøÈëѪҺµÄÔÙÉúÎïÖÊ£¬£¬ £¬£¬ £¬£¬£¬ £¬µÖ´ï7¡ª10Ìì¾Í´úлµô¡£¡£¡£¡£¡£¡£¡£¡£ÈôÊÇ2¡ª3¸öÔÂûÓÐ×öÔÙÉú»Ø¸´ÑøÉú£¬£¬ £¬£¬ £¬£¬£¬ £¬Æ¤·ôÈÔÌåÏÖÔÚÔÙÉúºóµÄ״̬£¬£¬ £¬£¬ £¬£¬£¬ £¬ËµÃ÷Ƥ·ôϸ°ûÒѾ­ÔÙÉúÁË¡£¡£¡£¡£¡£¡£¡£¡£¿ÉÊÇûÓÐÒ»Á¬µÄÔÙÉúÓªÑø£¬£¬ £¬£¬ £¬£¬£¬ £¬Ï¸°û¶öÁË£¬£¬ £¬£¬ £¬£¬£¬ £¬¾Í²»»á¼ÌÐøÔÙÉúÁË¡£¡£¡£¡£¡£¡£¡£¡£ÎÒÃÇÒªÏíÊܵľÍÊǵڶþ´ÎÔÙÉúÉúÃü¡£¡£¡£¡£¡£¡£¡£¡£ÈôÊÇ×èÖ¹ÁËÔÙÉúÓýÉú£¬£¬ £¬£¬ £¬£¬£¬ £¬Ëü¾Í»áÔÚÏÖÓеĻù´¡ÉϼÌÐøÀÏ»¯¡£¡£¡£¡£¡£¡£¡£¡£

     ÎÒÃÇÕâÀï˵µÄÊdzÉÏËάϸ°û£¬£¬ £¬£¬ £¬£¬£¬ £¬²»ÊdzÉÏËάĸϸ°û(ͼ17-A£©¡£¡£¡£¡£¡£¡£¡£¡£Ä¸Ï¸°ûÔÚÆ¤·ôÕæÆ¤ÄÚÀïʱ¿Ì±£´æ¡£¡£¡£¡£¡£¡£¡£¡£Ëæ×ÅÄêËêµÄÔöÌí£¬£¬ £¬£¬ £¬£¬£¬ £¬Ä¸Ï¸°û¡¢¸Éϸ°ûÔ½À´Ô½ÉÙ¡£¡£¡£¡£¡£¡£¡£¡£ÏÖÔÚÎÒÃÇÊÇÒª¼¤»îºÍÆô¶¯Ëü¡£¡£¡£¡£¡£¡£¡£¡£¾ÍÏñÔÚÉÕÉ˵ÄÍâòÔõÑù³¤³öÐÂµÄÆ¤·ô¡£¡£¡£¡£¡£¡£¡£¡£¼ÝÔ¦ËüµÄÉú³¤£¬£¬ £¬£¬ £¬£¬£¬ £¬ÐèÒªÌõ¼þµÄÅäºÏ¡£¡£¡£¡£¡£¡£¡£¡£Ò»¸ö³ÉÏËάϸ°û£¬£¬ £¬£¬ £¬£¬£¬ £¬Ëæ×ÅÐàÂõ£¬£¬ £¬£¬ £¬£¬£¬ £¬·ºÆð¿ÕÅÝ¡¢ÆÓª£¬£¬ £¬£¬ £¬£¬£¬ £¬Ï¸°ûºËÉøÍ¸Ò²²»ÐËÍú£¬£¬ £¬£¬ £¬£¬£¬ £¬Ï¸°ûÖÊÀïµÄÔ­½ºÔ­ÏËάÔÓÂÒÎÞÕ¡£¡£¡£¡£¡£¡£¡£¡£ÏÈ˵ϸ°ûºË£¬£¬ £¬£¬ £¬£¬£¬ £¬ÔÙÉúÎïÖʱ»µ¼Èëϸ°ûºó£¬£¬ £¬£¬ £¬£¬£¬ £¬Ï¸°ûºËĤ±äΪ¹æÕûµÄ£¬£¬ £¬£¬ £¬£¬£¬ £¬ËäÈ»ËüÊÇÐàÂõµÄ£¬£¬ £¬£¬ £¬£¬£¬ £¬µ«¾­ÓÉÔÙÉúÎïÖʵÄÓªÑøÇ¿ÐÄ£¬£¬ £¬£¬ £¬£¬£¬ £¬ÓÖÓÐÁËÄÜÁ¿¡£¡£¡£¡£¡£¡£¡£¡£´ÓÔ­½ºÔ­ÏËά˵£¬£¬ £¬£¬ £¬£¬£¬ £¬Ï¸°ûÖÊÄÚÀïµÄÔ­½ºÔ­Ã»Í³öÀ´Ö®Ç°ÊÇÔÓÂÒÎÞյ쬣¬ £¬£¬ £¬£¬£¬ £¬¾­ÓÉNGÏàÐÅÆ·ÅƵÄÁ¦Á¿¹ÙÍøÔÙÉúÎïÖʵĵ¼È룬£¬ £¬£¬ £¬£¬£¬ £¬Ï¸°ûͳöµÄ½ºÔ­ÏËά¾Í˳ÁË£¬£¬ £¬£¬ £¬£¬£¬ £¬ÕâÊÇϸ°ûÄÚÀïµÄ״̬¡£¡£¡£¡£¡£¡£¡£¡£µ¼ÈëÔÙÉúÎïÖʺó³ÉÏËάϸ°ûÄÚµÄת±ä(ͼ17-B)£¬£¬ £¬£¬ £¬£¬£¬ £¬Ï¸°ûÄÚÏËάÓÐÐò£¬£¬ £¬£¬ £¬£¬£¬ £¬Ï¸°ûÉú³¤ÐËÍú¡£¡£¡£¡£¡£¡£¡£¡£ÔÙÉúÎïÖʵ¼ÈëÖ®ºó£¬£¬ £¬£¬ £¬£¬£¬ £¬Ï¸°ûµÄÄÜÁ¿¾ÍÔöÇ¿ÁË£¬£¬ £¬£¬ £¬£¬£¬ £¬´úлÐËÍú£¬£¬ £¬£¬ £¬£¬£¬ £¬×Ô¶¯µÄµ÷ÀíÏËά¡£¡£¡£¡£¡£¡£¡£¡£ÓÉÓÚ½ºÔ­ÏËάÂѰ×ÔÚÔ­½ºÔ­Ê±ÆÚÊÇͨÏ꾡°ûÄÚÀïµÄ°±»ùËá¡¢Ö¬·¾ËáµÄ´úлÐγɵÄ¡£¡£¡£¡£¡£¡£¡£¡£ÈËÌåÓÐ8ÖÖ±ØÐè°±»ùËᣬ£¬ £¬£¬ £¬£¬£¬ £¬½ºÔ­ÏËάÂѰ׾ÍÕ¼ÓÐ7ÖÖ£¬£¬ £¬£¬ £¬£¬£¬ £¬Í¬Ê±»¹¶àÁËÒ»Ñùƽ³£²»´úлµÄôǸ¬°±Ëá¡£¡£¡£¡£¡£¡£¡£¡£°±»ùËá´úлÊÇϸ°û×ÔÉíµÄÄÜÁ¦£¬£¬ £¬£¬ £¬£¬£¬ £¬ÓÉÓÚϸ°ûµÄÐàÂõ£¬£¬ £¬£¬ £¬£¬£¬ £¬ÏßÁ£Ì幦ЧÏ÷Èõ£¬£¬ £¬£¬ £¬£¬£¬ £¬±¬·¢²»ÁËϸ°ûºÏ³ÉºÍÐèÒªµÄATPÄÜÁ¿£¬£¬ £¬£¬ £¬£¬£¬ £¬ºÏ³ÉµÄÏËά¾ÍÔÓÂÒÎÞÕ¡£¡£¡£¡£¡£¡£¡£¡£¶øÏËάºÏ³ÉÍêÁË£¬£¬ £¬£¬ £¬£¬£¬ £¬²ÅÜöÝÍÆðÀ´×éÖ¯Êä³ö¡£¡£¡£¡£¡£¡£¡£¡£ÒÔÊÇ˵һ¸öÐàÂõµÄ½ºÔ­ÏËάϸ°ûͳöµÄ¾ÍÊÇȱÉÙÕ³ÐÔµÄË¿¡£¡£¡£¡£¡£¡£¡£¡£½ºÔ­ÂѰ×Ë¿ÊÇÒÔ½ºÔ­ÂѰ×ΪÖ÷£¬£¬ £¬£¬ £¬£¬£¬ £¬¿ÉÊÇË¿ºÍ˿֮¼äµÄÅþÁ¬ÊÇÒ»ÖÖÖ¬·¾Ëᣬ£¬ £¬£¬ £¬£¬£¬ £¬Õâ¸öÖ¬·¾Ëá±ØÐèÊÇ¿ÉÈÜÐԵ쬣¬ £¬£¬ £¬£¬£¬ £¬¿É´úлµôµÄ£¬£¬ £¬£¬ £¬£¬£¬ £¬²»»á¡°¸Æ»¯¡±µÄ¡£¡£¡£¡£¡£¡£¡£¡£µ¼ÈëÔÙÉúÎïÖÊÖ®ºó£¬£¬ £¬£¬ £¬£¬£¬ £¬Ë¿ºÍ˿֮¼äÂíÉϾÍÁ¬ÔÚÒ»Æð³ÉÊø¡£¡£¡£¡£¡£¡£¡£¡£¿µ½¡µÄϸ°ûͳöÀ´µÄ²ÅÊÇÊø£¬£¬ £¬£¬ £¬£¬£¬ £¬²»¿µ½¡µÄϸ°ûͳöÀ´µÄÖ»ÊÇË¿¡£¡£¡£¡£¡£¡£¡£¡£ÎÒÃǵķ¢Ã÷ÊÇÔÚÉÕÉËÉÏ·¢Ã÷²¢Ñо¿³öÀ´µÄ¡£¡£¡£¡£¡£¡£¡£¡£ÎÒÃÇÓÃÖÖÖÖ²½·¥°ÑÕâÖÖÔÙÉúÎïÖʵ¼ÈëÆ¤·ô£¬£¬ £¬£¬ £¬£¬£¬ £¬È¡³ö²¿·Öϸ°ûÆÊÎö£¬£¬ £¬£¬ £¬£¬£¬ £¬Æ¤·ôÔÚת±ä£¬£¬ £¬£¬ £¬£¬£¬ £¬µ¼ÈëǰºÍµ¼ÈëºóÍêÈ«²»ÊÇÒ»¸öÑù¡£¡£¡£¡£¡£¡£¡£¡£ÏÖÔ򵀮÷¹ÙÔÙÉú»Ø¸´Ò²ÊÇÒ»¸öÔ­Àí£¬£¬ £¬£¬ £¬£¬£¬ £¬Ðí¶àÖåÎÆ£¬£¬ £¬£¬ £¬£¬£¬ £¬µ¼ÈëÔÙÉúÎïÖʺ󣬣¬ £¬£¬ £¬£¬£¬ £¬»á±ädz£¬£¬ £¬£¬ £¬£¬£¬ £¬ÉõÖÁÏûÊŲ»ÔÙÐèÒª»¯×±¡£¡£¡£¡£¡£¡£¡£¡£×îÖÕµÄÄ¿µÄÄØ£¬£¬ £¬£¬ £¬£¬£¬ £¬ÊÇÒª°Ñ²»Õý³£µÄϸ°û±äΪÕý³£µÄϸ°û¡£¡£¡£¡£¡£¡£¡£¡£´ÓÍâòµÄ¸ÐÊÜÄØ£¬£¬ £¬£¬ £¬£¬£¬ £¬¾ÍÊÇ°ÑÆ¤·ôÄð³ÉÕý³£µÄÊø¡£¡£¡£¡£¡£¡£¡£¡£¿£¿£¿ £¿£¿ÉÒÔ˵Ƥ·ôºñ¶ÈÒ»Ñùƽ³£ËæÄêËêÔöÌí»áÔ½À´Ô½±¡£¡£¡£¡£¡£¡£¡£¡£¬£¬ £¬£¬ £¬£¬£¬ £¬¶øÎÒÃÇÒ»¶¨ÒªÈÃÆ¤·ô±äºñ²ÅÕæµÄµÖ´ïЧ¹û¡£¡£¡£¡£¡£¡£¡£¡£Õâ¸ö±äºñÊÔÑéÒѾ­×ö³öÀ´ÁË£¬£¬ £¬£¬ £¬£¬£¬ £¬ÏÂÃæ¾ÍÊÇijŮʿµÄÁ³£¬£¬ £¬£¬ £¬£¬£¬ £¬ÊÇÎÒÃǵĹ淶±ê×¼£¨Í¼18£©£¬£¬ £¬£¬ £¬£¬£¬ £¬

Õâ¸öƤ·ôÔÙÉú»Ø¸´ÊÇÁ½¸öÔ¶࣬£¬ £¬£¬ £¬£¬£¬ £¬²»µ½Èý¸öÔ£¬£¬ £¬£¬ £¬£¬£¬ £¬¸÷ÈË¿´Õâ¸öÁ³ÐÍ£¬£¬ £¬£¬ £¬£¬£¬ £¬Ô­À´µÄƤ·ôÊÇÔ­À´µÄÃÀÈÝЧ¹û£¬£¬ £¬£¬ £¬£¬£¬ £¬ÕÕÆ¬¶¼ÊÇÆ¤·ôÍâòϴåªÇå½àÒÔºóÅÄÉãµÄ£¬£¬ £¬£¬ £¬£¬£¬ £¬¿ÉÒÔ¿´µ½£¬£¬ £¬£¬ £¬£¬£¬ £¬Íâò²»Æ½»¬£¬£¬ £¬£¬ £¬£¬£¬ £¬¿´ÉÏÈ¥Ãæ²¿ÍâòÓÉÓÚͿĨ»¯×±Æ·ºÜÁÁ£¬£¬ £¬£¬ £¬£¬£¬ £¬ÏÖʵÊǸߵͲ»Æ½µÄ£¬£¬ £¬£¬ £¬£¬£¬ £¬Ç°ÃæÒѾ­ÏÈÈݹý£¬£¬ £¬£¬ £¬£¬£¬ £¬ÒѾ­ÕûÀíµ½¿ÅÁ£²ãÁË£¬£¬ £¬£¬ £¬£¬£¬ £¬°Ñ½Ç»¯²ã¶¼ÕûÀíÁË£¬£¬ £¬£¬ £¬£¬£¬ £¬±ØÐèÔÚÆ¤·ôÍâòͿĨ»¯×±Æ·¡£¡£¡£¡£¡£¡£¡£¡£´ËºóÃæµÄÕÕÆ¬ÄØ£¬£¬ £¬£¬ £¬£¬£¬ £¬¾ÍÊÇÕû¸öƤ·ôºñ£¬£¬ £¬£¬ £¬£¬£¬ £¬ÊÇ±íÆ¤µÄºñ¶ÈÍê³ÉÁË£¬£¬ £¬£¬ £¬£¬£¬ £¬Óɼ¬²ã¡¢¿ÅÁ£²ãºÍ½Ç»¯²ã×é³É¡£¡£¡£¡£¡£¡£¡£¡£¶ø½Ç»¯²ãÆðµ½¿´²»¼ûµÄÆÁÕÏ×÷Ó㬣¬ £¬£¬ £¬£¬£¬ £¬ÕâÊÇ´ÓÍâòÀ´¿´¡£¡£¡£¡£¡£¡£¡£¡£´ÓÕæÆ¤À´¿´£¬£¬ £¬£¬ £¬£¬£¬ £¬ÄÇÊǺñ±¡µÄ²î±ð£¬£¬ £¬£¬ £¬£¬£¬ £¬´ÓÎÒÃÇÕâ¸öͼƬÉÏÀ´¿´£¬£¬ £¬£¬ £¬£¬£¬ £¬Ëæ×ÅÄêËêÔöÌíÆ¤·ô»áËúÏÝ£¬£¬ £¬£¬ £¬£¬£¬ £¬ÓÐÁ½ÖÖËúÏÝ£ºÒ»¸öÊÇÆ¤ÏÂ×éÖ¯ËúÏÝ£¬£¬ £¬£¬ £¬£¬£¬ £¬ÊǼ¡ÈâºÍÖ¬·¾×é֯ήËõ£»£»£»£»£»Ò»¸öÊÇÆ¤·ôËúÏÝ£¬£¬ £¬£¬ £¬£¬£¬ £¬Æ¤·ôËúÏÝÊÇÏÂ×¹£¬£¬ £¬£¬ £¬£¬£¬ £¬Æ¤·ôÒ»ÏÂ×¹¾Í³Å²»ÆðÀ´£¬£¬ £¬£¬ £¬£¬£¬ £¬ºóÃæÕâÕÅÕÕÆ¬ÊÇÔÙÉú²»µ½Èý¸öÔµģ¬£¬ £¬£¬ £¬£¬£¬ £¬¿ÉÒÔ¿´³öƤ·ô³ÅÆðÀ´ÁË£¬£¬ £¬£¬ £¬£¬£¬ £¬×îÄÑ¿°µÄ¾ÍÊÇÆ¤·ô³ÅÆðÀ´µÄ±¥Âú£¬£¬ £¬£¬ £¬£¬£¬ £¬ÒªÒ»Á¬¼á³ÖÕâÑù±¥ÂúÄǾͽâ¾öÎÊÌâÁË¡£¡£¡£¡£¡£¡£¡£¡£ÈôÊÇÒ»¸öÈýÊ®¼¸ËêµÄÈË£¬£¬ £¬£¬ £¬£¬£¬ £¬Æ¤·ô»¹Ã»ÓÐÏÂ×¹£¬£¬ £¬£¬ £¬£¬£¬ £¬ÄǾÙÐÐÔÙÉú¾Í¿ÉÒÔ¼á³ÖÁË£¬£¬ £¬£¬ £¬£¬£¬ £¬¾ÍÏñÎÒÃÇÒѾ­ÀÖ³ÉÁ˵ÄÃ÷È·ÊóÊÔÑéÒ»Ñù£¬£¬ £¬£¬ £¬£¬£¬ £¬¿ÉÒÔ¼á³ÖÁË¡£¡£¡£¡£¡£¡£¡£¡£ÄÇЩƤ·ôÒѾ­ÐàÂõµÄÎÒÃÇ¿ÉÒÔÈÃÆ¤·ô»Ö¸´¡£¡£¡£¡£¡£¡£¡£¡£´Ó¾±²¿À´Ëµ£¬£¬ £¬£¬ £¬£¬£¬ £¬Ô­À´µÄÕÕÆ¬ËúÏݵúÜÏÔ×Å£¨Í¼19£©£¬£¬ £¬£¬ £¬£¬£¬ £¬ÎÒÃÇ¿ÉÒÔÈÃÆ¤·ô±äµÃ±¥Âú£¬£¬ £¬£¬ £¬£¬£¬ £¬µ«±ØÐèʼÖÕ°ü¹Üÿһ´Î¶¼½«ÔÙÉúÎïÖʵ¼Èë½øÈ¥£¬£¬ £¬£¬ £¬£¬£¬ £¬µ¼Èë²»µ½Æ¤·ôÄÚϸ°û¾ÍûÓÐÔÙÉúÓªÑøÁË£¬£¬ £¬£¬ £¬£¬£¬ £¬Ò»µ©×èÖ¹Æ÷¹ÙÔÙÉúƤ·ô¾Í²»ÔÙ¼á³ÖÔÙÉúµÄ×î¼Ñ״̬ÁË£¬£¬ £¬£¬ £¬£¬£¬ £¬µ«²»»á»Øµ½ÔÙÉúǰµÄ״̬¡£¡£¡£¡£¡£¡£¡£¡£¾±²¿Æ¤·ôºÜÊÇËÉи£¬£¬ £¬£¬ £¬£¬£¬ £¬ÓëÃæ²¿Æ¤·ô×éÖ¯²î±ð£¬£¬ £¬£¬ £¬£¬£¬ £¬Ã沿ÒÔ½ºÔ­ÏËάΪÖ÷£¬£¬ £¬£¬ £¬£¬£¬ £¬¾±²¿µ¯Á¦ÏËάÔö¶àÁË£¬£¬ £¬£¬ £¬£¬£¬ £¬Í¬Ñùµ¼ÈëÔÙÉúÎïÖÊ£¬£¬ £¬£¬ £¬£¬£¬ £¬ÔÚÃæ²¿¿É±¬·¢´ó×Ú½ºÔ­ÂѰף¬£¬ £¬£¬ £¬£¬£¬ £¬ÔÚ¾±²¿±¬·¢½ÏÉÙ£¬£¬ £¬£¬ £¬£¬£¬ £¬ÓÉÓÚ¾±²¿µ¯Á¦ÏËά¶à£¬£¬ £¬£¬ £¬£¬£¬ £¬Õâ¾ÍÊÇΪʲôÏÖÔÚ¾±²¿Ð§¹û»á²îÒ»µã£¬£¬ £¬£¬ £¬£¬£¬ £¬ÎÒÃÇδÀ´µ¼ÈëÔÙÉúÎïÖʵÄÁ¿£¬£¬ £¬£¬ £¬£¬£¬ £¬¾±²¿ÒªÁè¼ÝÃæ²¿2¡ª3±¶£¬£¬ £¬£¬ £¬£¬£¬ £¬²Å»ªÆðµ½¸üºÃµÄµ¼Èë×÷Óᣡ£¡£¡£¡£¡£¡£¡£
      ÒÔÉÏÊÇ»ùÀ´Ô´Àí£¬£¬ £¬£¬ £¬£¬£¬ £¬Æ¤·ô¼ÈÈ»¶¼ÄÜÔÙÉú£¬£¬ £¬£¬ £¬£¬£¬ £¬É«°ß¡¢ÍíÄê°ßìî³ý¾Í¸üÈÝÒ×½â¾öÁË£¬£¬ £¬£¬ £¬£¬£¬ £¬°üÀ¨·Û´Ì¡¢Ö¬·¾Á£µÈͨ³£Òì³£µÄ£¬£¬ £¬£¬ £¬£¬£¬ £¬²»¹ÜºÎµÈÑÏÖØ£¬£¬ £¬£¬ £¬£¬£¬ £¬Ö»ÒªÄÜÔÙÉú³öÐÂµÄÆ¤·ô¾ÍÍêÈ«¿ÉÒÔ½â¾ö¡£¡£¡£¡£¡£¡£¡£¡£

ÍøÕ¾µØÍ¼